Preoperative prediction of tumor budding in colorectal cancer based on quantitative parameters of dual-layer detector spectral computed tomography: a preliminary study
Highlight box
Key findings
• This research on the quantitative characteristics of dual-layer spectral detector computed tomography (SDCT) for predicting colorectal cancer (CRC) tumour budding grade revealed that high-grade tumor budding (TB) correlated with an increased risk of vascular invasion, elevated tumor grade, and a higher Ki-67 index. The values of computed tomography attenuation value at 40 kiloelectron volt (CT40keV), computed tomography attenuation value at 120 kiloelectron volt (CT120keV), iodine concentration (IC), normalized iodine concentration (NIC), effective atomic number (Zeff), normalized effective atomic number (NZeff), and slope of the spectral Hounsfield unit curve (λHU) in the arterial phase and arterial enhancement fraction (AEF) of low-grade TB group exceeded those of high-grade TB group. Among the single parameters, NIC had the greatest diagnostic efficacy in distinguishing low- and high-grade CRC tumour budding grade. The integrated model that amalgamates each component of the arterial phase and AEF surpassed every single spectral parameter.
What is known and what is new?
• High-grade TB in CRC was associated with higher tumor grade, lymphovascular invasion and higher Ki-67 expression. CT40keV, CT120keV, IC, NIC, Zeff, NZeff, λHU in arterial phase and AEF of low-grade TB CRC were higher than those of high-grade TB.
What is the implication, and what should change now?
• Quantitative metrics derived from SDCT may be valuable in the preoperative assessment of TB grade in CRC patients, potentially aiding in the clinical selection of suitable treatment strategies and enhancing patient prognosis.
Introduction
Colorectal cancer (CRC) ranks as the third most often diagnosed disease and the second foremost cause of cancer-related death globally, considerably impacting the overall cancer burden (1). Surgery is now the fundamental therapy for early-stage CRC. Studies indicated that 20% to 30% of individuals have recurrence or metastases after surgical surgery (2-4). In clinical practice, the management and prognostic evaluation of CRC are largely guided by the Tumor-Node-Metastasis (TNM) staging system. Nevertheless, substantial heterogeneity in clinical outcomes and survival is frequently observed among patients within the same TNM stage, underscoring the critical need for improved risk stratification approaches. Such refinement is essential for accurate identification of patients at heightened risk of disease recurrence or metastasis, thereby facilitating personalized treatment strategies (5). Recent investigations have shown the critical importance of tumor budding (TB) (6-9). TB refers to the occurrence of solitary tumor cells or tiny aggregates (up to four cells) dispersed inside the stromal tissue near the invasive margin of carcinoma (10). TB signifies tumor invasiveness and metastatic potential, acting as a prelude to distant metastasis. In CRC, high-grade TB is associated with elevated tumor grade, advanced T stage, lymphovascular invasion, and a greater probability of lymph node metastases (11). High-grade TB is an established criterion for adjuvant treatment in patients with stage II rectal cancer and is substantially correlated with reduced overall survival and disease-free survival. TB has been included into the TNM staging system [2017] and the World Health Organization (WHO) classification [2019] as a significant unfavorable prognostic marker for CRC, highlighting its relevance in prognostic assessment (12,13). The grading of TB in CRC may now be evaluated only by postoperative histological analysis. This technique is invasive, and the outcomes from postoperative pathology experience a delay. Therefore, a precise, non-invasive technique for the preoperative diagnosis of TB grade has considerable therapeutic importance, especially for treatment strategy formulation and prognostic assessment.
Computed tomography (CT) is an essential imaging technique for preoperative assessment in CRC. Conventional monoenergetic CT, meanwhile, provides restricted diagnostic and biological information (14). Conversely, dual-layer spectral detector CT (SDCT), an innovative dual-energy scanning method, offers significant benefits compared to traditional CT. SDCT employs a dual-layer X-ray detector, facilitating the concurrent differentiation of low- and high-energy photons. It also integrates noise suppression and iterative reconstruction methods to reduce picture noise and improve image quality. Moreover, SDCT may provide extensive spectrum datasets without requiring predefined dual-energy procedures, therefore enhancing imaging precision and providing more specific energy-related information that optimizes clinical processes (15,16). The multi-parameter spectral images generated by SDCT, encompassing virtual monoenergetic images, material separation images (including iodine maps, virtual unenhanced images, and calcium-suppressed images), effective atomic number (Zeff) maps, and electron cloud density maps, offer significant qualitative and quantitative insights for lesion analysis. This multi-dimensional imaging capabilities enhance the diagnosis and assessment of the condition.
Multiple studies have confirmed that spectral CT quantitative parameters are closely associated with the pathological features of CRC: pathological T staging of CRC shows significant correlations with Zeff values, arterial-phase normalized iodine concentration (NIC), and slope of the spectral Hounsfield unit curve (λHU) values; metastatic lymph nodes in T1–2 stage rectal cancer exhibit lower iodine concentration (IC), NIC, Zeff, normalized effective atomic number (NZeff), and λHU values compared to non-metastatic lymph nodes; arterial-phase IC values are positively correlated with Ki-67 expression, while CT40keV and λHU values demonstrate negative correlations (17-19). Furthermore, a predictive model combining venous-phase CT40keV values with visceral fat area demonstrated excellent performance in predicting postoperative complications in colon cancer [area under the curve (AUC) =0.84] (20). Research on the use of SDCT in CRC has mostly concentrated on preoperative tumor diagnosis (21), tumor staging and grading (17), prediction of neurovascular invasion and molecular biomarker expression (15,19), as well as the evaluation of therapy effectiveness (22). To our knowledge, only one investigation using dual-source CT has examined the relationship between quantitative spectral characteristics and TB grade in colon cancer (23). There is a deficiency of research examining the impact of SDCT spectral quantitative parameters in assessing the TB grade in CRC. The aim of this research was to investigate the clinical applicability of preoperative SDCT quantitative parameters in evaluating the TB grade in CRC. We present this article in accordance with the STARD reporting checklist (available at https://jgo.amegroups.com/article/view/10.21037/jgo-2025-112/rc).
Methods
Study design and patients
This single-center retrospective diagnostic study consecutively enrolled patients with pathologically confirmed CRC between July 2023 and July 2024. The study was conducted in accordance with the Declaration of Helsinki and its subsequent amendments. This retrospective study was approved by the Medical Ethics Review Board of the First Hospital of Lanzhou University (No. LDYYLL-2024-795), and the need for informed consent was waived owing to the retrospective nature of the study. All patients underwent preoperative SDCT scans. Two pathologists independently assessed TB grade in a blinded manner, with imaging analysis and pathological evaluation performed independently. The group included 36 men and 38 females, with a mean age of 61.16 (±13.08) years. The criteria for inclusion were as follows: (I) all patients obtained a spectral CT scan within 1 week before to surgery; (II) patients with CRC were verified by postoperative pathology, and the grade of TB was assessed; (III) comprehensive clinical data were available. Exclusion criteria: (I) inadequate clinical and CT data; (II) unsatisfactory picture quality due to significant motion or respiratory artifacts, rendering post-processing unfeasible; (III) prior administration of targeted treatment, radiation, or chemotherapy; (IV) tumor visibility on CT images poor enough to draw a region of interest (ROI). Patients were categorized into Group A (Bd1, n=22) and Group B (Bd2 + Bd3, n=52) according on TB grade. Figure 1 shows the patient selection process.
Clinical-pathological data
Clinical-pathological data of the patients were gathered, encompassing gender and age, as well as laboratory tests conducted within 1 week prior to surgery, including carcinoembryonic antigen (CEA), carbohydrate antigen 724 (CA724), carbohydrate antigen 199 (CA199), tumor pathological T stage, N stage, tumor grade, lymphovascular and perineural invasion status, and Ki-67 index, which were derived from postoperative pathology.
CT protocol
The first and second generation SDCT (Iqon Spectral CT, Spectral CT 7500; Philips Healthcare, Best, The Netherlands) conducted a contrast-enhanced CT scan of the whole abdomen. Patients were instructed to fast for 4–6 hours before the CT test, with the scanning range extending from the dome of the diaphragm to the inferior boundary of the pubic symphysis. Scanning parameters: tube voltage 120 kV, automated tube current control technology, collimator width 64×0.625 mm, matrix 512×512, scanning slice thickness 10 mm, reconstruction slice thickness 1 mm. Ioversol (320 mg I/mL) was administered into the median cubital vein using a high-pressure syringe at a dosage of 1.25 mL/kg and a flow rate of 2.5–3.5 mL/s. The automated monitoring of the abdominal aorta was used for improved scanning, with the trigger threshold established at 120 Hounsfield unit (HU). The venous phase scan commenced 30 seconds after the conclusion of the arterial phase scan.
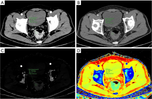
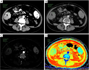
Image analysis
Two radiologists, with 8 and 10 years of expertise in abdominal CT imaging, independently post-processed and assessed the preoperative CT scans of the patients. Two observers were unaware of the clinical and pathological data of the patients and documented the tumor location, maximum thickness (cm), and maximum diameter (cm). SDCT image data were sent to a post-processing workstation (IntelliSpace Portal, 10.1, Philips Healthcare, Netherlands) for the reconstruction of 40 and 120 keV virtual monoenergetic pictures, iodine density maps, and Zeff maps during arterial and venous phases. A circular ROI was positioned on the layer exhibiting the greatest lesion and the most pronounced tumor enhancement region, close to the top and lower layers, in the 40 keV virtual monoenergetic pictures during the venous phase. The diameter of each ROI was about one-third of the greatest tumor slice thickness, with an average area of 42.87 mm2. The ROI excluded necrosis, blood vessels, air, and adipose areas, after which the same level was transitioned to other spectral pictures. The CT values at 40 and 120 keV (CT40keV, CT120keV), IC, and Zeff of the lesions were quantified. The location, size, and form of the ROI across several phases and slices remained mostly consistent while using the copy and paste feature of the workstation. The average of the three slices was used as the final outcome. The NIC and normalized atomic number (NZeff) were computed using the specified formula: NIC = IClesion/ICartery, NZeff = Zefflesion/Zeffartery. λHU was determined using CT40keV and CT120keV values: λHU = (CT40keV − CT120keV)/80. The arterial enhancement fraction (AEF) was calculated as (IC in arterial phase/IC in venous phase) ×100%. The intraclass correlation coefficient (ICC) between two radiologists was calculated.
Histopathology evaluation
In accordance with the guidelines established by the International Tumor Budding Consensus Conference (ITBCC) 2016 on the grading of TB in CRC (10), TB grade was evaluated independently and in a blinded fashion by two seasoned pathologists. Sections were stained with hematoxylin and eosin (HE), and a hotspot region was designated for TB enumeration using a 20× objective (0.785 mm2). TB was categorized into three grades: low-grade budding (Bd1) with 0–4 buds, intermediate-grade budding (Bd2) with 5–9 buds, and high-grade blossoming (Bd3) with 10 or more buds. This research divided TB into low-grade TB (group A, including Bd1) and high-grade TB (group B, encompassing Bd2 + Bd3) (20). Pathological factors included TN stage, tumor grade (low grade and high grade), perineural invasion status, lymphovascular invasion status, and Ki-67 proliferation index (Ki-67 <50% was classified as low expression level, Ki-67 ≥50% was classified as high expression level).
Statistical analyses
Statistical analyses were conducted using SPSS version 29.0. The measurement data according to a normal distribution were presented as mean ± standard deviation and evaluated using an independent samples t-test. The quantitative data that did not conform to a normal distribution were presented as median (Q1, Q3) and analyzed using the Mann-Whitney U test. Count data were represented as the number of instances, and the Chi-squared test or Fisher’s exact test was used to assess the differences between groups. The ICC was used to assess the inter-observer reliability of data measurement. An ICC of less than 0.5 signifies poor dependability, an ICC between 0.5 and 0.75 denotes moderate reliability, and an ICC over 0.75 reflects strong reliability. OriginPro 2024b was used to generate boxplots illustrating the disparities in spectral quantitative parameters between the two groups. Binary logistic regression was used to build a multiparameter combined model. Receiver operating characteristic (ROC) curve analysis was performed using MedCalc 22.0 to compare the diagnostic performance between individual parameters and the combined model, with calculation of the AUC, sensitivity, specificity, optimal cutoff values, and corresponding 95% confidence intervals (95% CIs). Statistical differences between AUCs were assessed using DeLong’s test. A P value of less than 0.05 was deemed statistically significant.
Results
Comparison of clinical-pathological characteristics between different TB grades
A total of 72 patients with CRC were included, including 36 men and 38 females, with an average age of 61.16±13.08 years. No significant changes were seen in gender, age, tumor location and size, CEA, CA724, and CA199 between the two groups (all P>0.05). In comparison to the low-grade TB group, the high-grade TB group had a higher tumor grade and a significantly increased likelihood of lymphovascular invasion (P=0.001, P=0.005), and the proportion of high Ki-67 expression was much greater (P=0.009). No substantial difference was seen in tumor T stage, N stage, and nerve invasion between the two groups (all P>0.05) (Table 1).
Table 1
| Parameters | Group A (n=22) | Group B (n=52) | P value |
|---|---|---|---|
| Age (years) | 64.50±12.46 | 61.00±12.81 | 0.28 |
| Sex | 0.90 | ||
| Male | 11 (50.0) | 25 (48.1) | |
| Female | 11 (50.0) | 27 (51.9) | |
| Tumor location | 0.32 | ||
| Left hemicolon | 6 (27.3) | 9 (17.3) | |
| Right hemicolon | 3 (13.6) | 15 (28.8) | |
| Rectum | 13 (59.1) | 28 (53.8) | |
| Maximum tumor thickness (mm) | 22.27±6.66 | 21.67±5.58 | 0.69 |
| CEA | 0.84 | ||
| Normal | 13 (59.1) | 32 (61.5) | |
| Abnormal | 9 (40.9) | 20 (38.5) | |
| CA724 | |||
| Normal | 19 (86.4) | 43 (82.7) | |
| Abnormal | 3 (13.6) | 9 (17.3) | |
| CA199 | >0.99 | ||
| Normal | 20 (90.9) | 46 (88.5) | |
| Abnormal | 2 (9.1) | 6 (11.5) | |
| Pathological T-staging | 0.07 | ||
| T1 | 4 (18.2) | 1 (1.9) | |
| T2 | 2 (9.1) | 4 (7.7) | |
| T3 | 14 (63.6) | 37 (71.2) | |
| T4 | 2 (9.1) | 10 (19.2) | |
| Pathological N-staging | 0.64 | ||
| N0 | 14 (63.6) | 27 (51.9) | |
| N1 | 5 (22.7) | 16 (30.8) | |
| N2 | 3 (13.6) | 9 (17.3) | |
| Histologic grade | 0.001 | ||
| High | 3 (13.6) | 28 (53.8) | |
| Low | 19 (86.4) | 24 (46.2) | |
| PNI | 0.24 | ||
| Positive | 14 (63.6) | 40 (76.9) | |
| Negative | 8 (36.4) | 12 (23.1) | |
| LVI | 0.005 | ||
| Positive | 3 (13.6) | 25 (48.1) | |
| Negative | 19 (86.4) | 27 (51.9) | |
| Ki-67 | 0.009 | ||
| ≤50% | 9 (40.9) | 6 (11.5) | |
| >50% | 13 (59.1) | 46 (88.5) |
Qualitative data were expressed as number of cases and percentage (numbers in parentheses are percentages), using Chi-squared test or Fisher’s exact test; quantitative data were expressed as mean ± standard deviation, using independent sample t-test or Mann-Whitney U test. Group A: low-grade TB (Bd1); Group B: high-grade TB (Bd2 + Bd3). CA199, carbohydrate antigen 199 (normal value <35 U/mL); CA724, carbohydrate antigen 724 (normal value <6.9 U/mL); CEA, carcinoembryonic antigen (normal value <5 ng/mL); Ki-67, antigen identified by monoclonal antibody; LVI, lymphovascular invasion; N, node; PNI, perineural invasion; T, tumor; TB, tumor budding.
Interobserver consistency of the quantitative parameters
The spectral quantitative parameters assessed by the two radiologists shown substantial inter-observer agreement (ICC range, 0.761–0.913), as seen in Table 2. The senior radiologist’s measurement results were used for future data processing.
Table 2
| Parameters | AP | VP | |||
|---|---|---|---|---|---|
| ICC (95% CI) | P value | ICC (95% CI) | P value | ||
| CT40keV | 0.868 (0.798, 0.915) | <0.001 | 0.895 (0.839, 0.933) | <0.001 | |
| CT120keV | 0.811 (0.716, 0.877) | <0.001 | 0.814 (0.719, 0.878) | <0.001 | |
| IC | 0.863 (0.791, 0.912) | <0.001 | 0.875 (0.808, 0.919) | <0.001 | |
| NIC | 0.901 (0.847, 0.936) | <0.001 | 0.864 (0.792, 0.912) | <0.001 | |
| Zeff | 0.802 (0.703, 0.870) | <0.001 | 0.761 (0.645, 0.842) | <0.001 | |
| NZeff | 0.853 (0.776, 0.905) | <0.001 | 0.780 (0.672, 0.856) | <0.001 | |
| λHU | 0.864 (0.793, 0.912) | <0.001 | 0.913 (0.866, 0.944) | <0.001 | |
| AEF | 0.857 (0.781, 0.907) | <0.001 | – | – | |
AEF, arterial enhancement fraction; AP, arterial phase; CT40keV, computed tomography attenuation value at 40 kiloelectron volt; CT120keV, computed tomography attenuation value at 120 kiloelectron volt; CI, confidence interval; IC, iodine concentration; ICC, intraclass correlation coefficient; NIC, normalized iodine concentration; NZeff, normalized effective atomic number; VP, venous phase; Zeff, effective atomic number; λHU, slope of the spectral Hounsfield unit curve.
Comparison of SDCT parameters between different TB grades
Table 3 and Figure 2 show the results of the SDCT quantitative parameter analysis for the two groups. CT40keV [175.14 (152.90, 194.94) vs. 152.65 (119.29, 176.93) HU, P=0.02], CT120keV (49.19±6.14 vs. 44.19±7.36 HU, P=0.007), IC [1.68 (1.35, 1.84) vs. 1.36 (1.00, 1.64) mg/mL, P=0.02], NIC [0.15 (0.12, 0.18) vs. 0.11 (0.09, 0.14), P=0.002], Zeff [8.23 (8.08, 8.31) vs. 8.09 (7.90, 8.24), P=0.048], NZeff [0.73 (0.71, 0.75) vs. 0.70 (0.68, 0.74), P=0.008], λHU [1.64 (1.32, 1.76) vs. 1.32 (0.98, 1.60), P=0.03] in the arterial phase and AEF [0.74 (0.63, 0.85) vs. 0.60 (0.49, 0.76), P=0.01] were higher in the low-grade TB group than in the high-grade TB group. No significant difference was observed in the spectral characteristics of the venous phase between the two groups (P>0.05). Figures 3,4 show spectral CT multiparametric images of high-grade and low-grade TB in CRC, respectively.
Table 3
| Parameters | Group A (n=22) | Group B (n=52) | P value |
|---|---|---|---|
| AP | |||
| CT40keV (HU) | 175.14 (152.90, 194.94) | 152.65 (119.29, 176.93) | 0.02 |
| CT120keV (HU) | 49.19±6.14 | 44.19±7.36 | 0.007 |
| IC (mg/mL) | 1.68 (1.35, 1.84) | 1.36 (1.00, 1.64) | 0.02 |
| NIC | 0.15 (0.12, 0.18) | 0.11 (0.09, 0.14) | 0.002 |
| Zeff | 8.23 (8.08, 8.31) | 8.09 (7.90, 8.24) | 0.048 |
| NZeff | 0.73 (0.71, 0.75) | 0.70 (0.68, 0.74) | 0.008 |
| λHU | 1.64 (1.32, 1.76) | 1.32 (0.98, 1.60) | 0.03 |
| VP | |||
| CT40keV (HU) | 221.48 (208.94, 252.21) | 208.33 (189.12, 251.18) | 0.43 |
| CT120keV (HU) | 50.65 (48.13, 57.03) | 52.14 (47.09, 56.62) | 0.98 |
| IC (mg/mL) | 2.19 (2.06, 2.42) | 2.02 (1.79, 2.48) | 0.44 |
| NIC | 0.51±0.09 | 0.48±0.11 | 0.20 |
| Zeff | 8.46 (8.36, 8.56) | 8.39 (8.29, 8.61) | 0.61 |
| NZeff | 0.91±0.03 | 0.90±0.03 | 0.16 |
| λHU | 2.13 (2.01, 2.37) | 1.97 (1.75, 2.42) | 0.44 |
| AEF | 0.74 (0.63, 0.85) | 0.60 (0.49, 0.76) | 0.01 |
Quantitative data were expressed as mean ± standard deviation or median (Q1, Q3), using independent sample t-test or Mann-Whitney U test. Group A: low-grade TB (Bd1); Group B: high-grade TB (Bd2 + Bd3). AEF, arterial enhancement fraction; AP, arterial phase; CT40keV, computed tomography attenuation value at 40 kiloelectron volt; CT120keV, computed tomography attenuation value at 120 kiloelectron volt; IC, iodine concentration; NIC, normalized iodine concentration; NZeff, normalized effective atomic number; SDCT, dual-layer spectral detector computed tomography; TB, tumor budding; VP, venous phase; Zeff, effective atomic number; λHU, slope of the spectral Hounsfield unit curve.
Predictive performance of spectral parameters
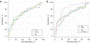
The AUC of CT40KeV, CT120KeV, IC, NIC, Zeff, NZeff, λHU in the arterial phase and AEF for distinguishing low and high-grade tuberculosis in CRC ranged from 0.646 to 0.723. During the arterial phase, NIC had the greatest AUC value (0.723) for differentiating between mild and high-grade TB, with a sensitivity of 53.85%, a specificity of 86.36%, and a critical value of 0.402. The AUC of the integrated model, including each spectral parameter in the arterial phase and AEF, was 0.814, surpassing that of any individual spectral parameter, with a sensitivity of 84.62%. Specificity is 72.73% (refer to Table 4 and Figure 5).
Table 4
| Parameters | Youden index | Cutoff | Sensitivity (%) | Specificity (%) | AUC (95% CI) | P value |
|---|---|---|---|---|---|---|
| CT40KeV-AP | 0.348 | 169.13 | 71.15 | 63.64 | 0.676 (0.557–0.780) | 0.02 |
| CT120KeV-AP | 0.364 | 44.17 | 50.00 | 86.36 | 0.700 (0.582–0.801) | 0.007 |
| IC-AP | 0.323 | 1.45 | 59.62 | 72.73 | 0.667 (0.548–0.772) | 0.02 |
| NIC-AP | 0.402 | 0.11 | 53.85 | 86.36 | 0.723 (0.607–0.821) | 0.002 |
| Zeff-AP | 0.323 | 8.14 | 59.62 | 72.73 | 0.646 (0.527–0.754) | 0.048 |
| NZeff-AP | 0.376 | 0.70 | 55.77 | 81.82 | 0.696 (0.578–0.798) | 0.008 |
| λHU-AP | 0.323 | 1.42 | 59.62 | 72.73 | 0.664 (0.545–0.770) | 0.03 |
| AEF | 0.370 | 0.57 | 46.15 | 90.91 | 0.681 (0.562–0.785) | 0.01 |
| Combined | 0.573 | 0.63 | 84.62 | 72.73 | 0.814 (0.706–0.895) | <0.001 |
AEF, arterial enhancement fraction; AP, arterial phase; AUC, area under the curve; CI, confidence interval; CT40keV, computed tomography attenuation value at 40 kiloelectron volt; CT120keV, computed tomography attenuation value at 120 kiloelectron volt; IC, iodine concentration; NIC, normalized iodine concentration; NZeff, normalized effective atomic number; TB, tumor budding; Zeff, effective atomic number; λHU, slope of the spectral Hounsfield unit curve.
Discussion
The TNM staging model has historically been the standard for intestinal tumors and is well acknowledged as a dependable prognostic measure for patients. Recent investigations have highlighted the diagnostic importance of TB in the clinicopathological evaluation and prognosis of gastrointestinal tumors (24). The European Society for Medical Oncology and the ITBCC have used TB as a criterion for identifying high-risk patient populations (25). TB has emerged as a unique prognostic marker, recognized for its significance in directing personalized cancer therapy regimens (26). Therefore, the preoperative assessment of TB is crucial for the treatment and prognosis of CRC patients.
Our investigation revealed that, in comparison to the low-grade TB group, the high-grade TB group had a greater prevalence of elevated histological grade and lymphovascular invasion. Moreover, high-grade TB in CRC was substantially correlated with tumor histological grade and lymphovascular invasion, aligning with prior research results (27-30). Ki-67, a nuclear antigen intimately associated with cell proliferation, is crucial in facilitating tumor cell development. Elevated Ki-67 expression is often linked to adverse pathological characteristics and aggressive behavior (31,32). This research revealed a greater Ki-67 index in the high-grade TB group relative to the low-grade TB group, a result not previously documented. This emphasizes the significance of TB as a pathological characteristic predictive of more aggressive tumor activity in CRC. Previous studies (8,33,34) indicates that elevated T stage, lymph node metastases, and perineural invasion correlate with an augmented TB grade in CRC. However, our analysis revealed no significant association, which may be due to the restricted sample size, disparities in patient demographics, and inconsistencies in grouping methodologies. Consequently, the correlation between TB grade and TNM stage or perineural invasion in CRC needs more research.
Our research also assessed the correlation between spectral quantitative parameters and TB grade in CRC. We noted substantial disparities in spectral parameters, namely CT40keV, CT120keV, IC, NIC, Zeff, NZeff, λHU during the arterial phase, and AEF, between the low and high-grade TB groups. The spectral characteristics of high-grade tuberculosis were inferior than those of low-grade tuberculosis. According to our knowledge, the inaugural investigation using SDCT quantitative measures to evaluate TB grade in CRC. IC indicates the distribution of iodine levels across different organs and directly measures IC on iodine maps (35). Zeff denotes the mean atomic number of molecules in tissue (16), while λHU values characterize the CT properties of various tissues based on X-ray energy (36). AEF refers to the ratio of the absolute enhancement rise in the arterial phase compared to the venous phase, serving as an indirect indicator of tissue perfusion.
Elevated spectral CT parameters often signify an enhanced vascularization in tumors, correlating with accelerated tumor proliferation and increased malignancy (20). Theoretically, spectral characteristics for high-grade TB colorectal tumors should exceed those of low-grade TB, attributable to the elevated tumor grade, enhanced invasiveness, and augmented blood supply in the high-grade group. Our study indicated that spectral parameters during the arterial phase and AEF for the high-grade TB group were inferior to those of the low-grade TB group. We propose that this gap may be ascribed to many factors: TB is associated with more aggressive characteristics in CRC, including poor differentiation, vascular invasion, and elevated TNM stage, which are more common in the high-grade TB group (33). In addition, inadequate differentiation in high-grade TB CRC results in less functional vascularization and a decreased blood supply relative to well-differentiated tumors. Vascular invasion and microthrombosis, often seen in high-grade TB tumors, may further diminish arterial blood flow and venous return. Moreover, the elevated Ki-67 expression seen in high-grade TB tumors facilitates accelerated tumor growth and proliferation, resulting in inadequate blood supply, cystic degeneration, and necrosis. These characteristics may hinder the definition of ROI (36), and lead to diminished spectral parameters in the high-grade TB group.
Microvessel density (MVD), a measure of tumor angiogenesis, is associated with tumor blood supply. Higher MVD values signify more angiogenesis and a more substantial blood supply (37). In our study, the spectral characteristics of the low-grade tuberculosis group were elevated compared to those of the high-grade tuberculosis group, indicating that the former exhibited a more abundant blood supply and increased microvascular density. This conclusion corresponds with the work of Righi et al. (38), which indicated markedly elevated MVD in the low-grade tuberculosis group relative to the high-grade group in CRC. In addition, Righi et al. also showed that TB correlated with hypoxia resulting from inadequate blood supply at the tumor’s advancing front, and the expression of hypoxia-inducible factor-1a (HIF-1a) was higher in high-grade TB CRC. Hypoxia may stimulate tumor angiogenesis and lymphangiogenesis. However, the resultant neovascularization is often architecturally deficient and functionally aberrant. This may result in hypoxic circumstances and increased interstitial pressure inside the tumor (39), possibly leading to diminished blood perfusion and explaining the lower spectral values seen in the high-grade TB group.
To reduce the effects of individual variability, vascular variables, and contrast agent volume, we used IC and Zeff of the aorta at the same ROI level as reference points for computing NIC and NZeff. Standardization enhanced the AUC and specificity of NIC and NZeff. Shao et al. (23) showed an inverse connection between NIC and tumor TB grade, aligning with our results. Moreover, our findings indicated that NIC in the arterial phase had the highest AUC (0.723) for differentiating between high and low-grade TB in CRC among individual parameters. Further study indicated that the diagnostic efficacy of integrated spectral characteristics from the arterial phase and AEF surpassed that of any single parameter, with an AUC of 0.814, a sensitivity of 84.62%, and a specificity of 72.73%.
Despite the encouraging outcomes, there are some limitations in this study. Firstly, this is a single-center, retrospective research and may thus be susceptible to selection bias. Secondly, the limited sample size indicates our preliminary experience with a restricted patient group, and the disproportionate distribution of high- and low-grade TB requires bigger sample sizes and prospective clinical studies to substantiate our results. Thirdly, although ROI definition was conducted using the biggest tumor portion and the neighboring upper and lower tumor segments, the mean value for the whole tumor was not computed, perhaps failing to include the tumor’s heterogeneity. Delineating all tumor layers may provide a fuller understanding of heterogeneity. However, this method is time-consuming and difficult to execute in clinical settings.
Conclusions
In summary, this pilot study demonstrated that SDCT-based quantitative parameters possess clinical significance in the preoperative prediction of TB grade in CRC patients. It is anticipated to introduce a novel imaging marker for the non-invasive preoperative evaluation of TB grade, potentially aiding in the selection of suitable clinical treatment strategies and enhancing patient prognosis in CRC.
Acknowledgments
None.
Footnote
Reporting Checklist: The authors have completed the STARD reporting checklist. Available at https://jgo.amegroups.com/article/view/10.21037/jgo-2025-112/rc
Data Sharing Statement: Available at https://jgo.amegroups.com/article/view/10.21037/jgo-2025-112/dss
Peer Review File: Available at https://jgo.amegroups.com/article/view/10.21037/jgo-2025-112/prf
Funding: None.
Conflicts of Interest: All authors have completed the ICMJE uniform disclosure form (available at https://jgo.amegroups.com/article/view/10.21037/jgo-2025-112/coif). The authors have no conflicts of interest to declare.
Ethical Statement: The authors are accountable for all aspects of the work in ensuring that questions related to the accuracy or integrity of any part of the work are appropriately investigated and resolved. The study was conducted in accordance with the Declaration of Helsinki and its subsequent amendments. This retrospective study was approved by the Medical Ethics Review Board of the First Hospital of Lanzhou University (No. LDYYLL-2024-795), and the need for informed consent was waived owing to the retrospective nature of the study.
Open Access Statement: This is an Open Access article distributed in accordance with the Creative Commons Attribution-NonCommercial-NoDerivs 4.0 International License (CC BY-NC-ND 4.0), which permits the non-commercial replication and distribution of the article with the strict proviso that no changes or edits are made and the original work is properly cited (including links to both the formal publication through the relevant DOI and the license). See: https://creativecommons.org/licenses/by-nc-nd/4.0/.
References
- Li Q, Yu M, Lv H, et al. Burden of early-onset colorectal cancer along with attributable risk factors from 1990 to 2019: a comparative study between China and other G20 countries. BMC Public Health 2023;23:1463. [Crossref] [PubMed]
- Yang Y, Wei H, Fu F, et al. Preoperative prediction of lymphovascular invasion of colorectal cancer by radiomics based on 18F-FDG PET-CT and clinical factors. Front Radiol 2023;3:1212382. [Crossref] [PubMed]
- Schellenberg AE, Moravan V, Christian F. A competing risk analysis of colorectal cancer recurrence after curative surgery. BMC Gastroenterol 2022;22:95. [Crossref] [PubMed]
- Ryu HS, Kim J, Park YR, et al. Recurrence Patterns and Risk Factors after Curative Resection for Colorectal Cancer: Insights for Postoperative Surveillance Strategies. Cancers (Basel) 2023;15:5791. [Crossref] [PubMed]
- Chen K, Collins G, Wang H, et al. Pathological Features and Prognostication in Colorectal Cancer. Curr Oncol 2021;28:5356-83. [Crossref] [PubMed]
- van Wyk HC, Roseweir A, Alexander P, et al. The Relationship Between Tumor Budding, Tumor Microenvironment, and Survival in Patients with Primary Operable Colorectal Cancer. Ann Surg Oncol 2019;26:4397-404. [Crossref] [PubMed]
- Qi B, Liu L, Pan Y, et al. Prognostic significance of peritumoural and intratumoural budding in intestinal-type gastric adenocarcinoma. Arab J Gastroenterol 2020;21:111-6. [Crossref] [PubMed]
- El Agy F, El Bardai S, Bouguenouch L, et al. Prognostic Impact of Tumor Budding on Moroccan Colon Cancer Patients. Int J Surg Oncol 2022;2022:9334570. [Crossref] [PubMed]
- Dukoska DB, Zdravkovski P, Kostadinova-Kunovska S, et al. Tumor Budding as a Prognostic Marker in Primary Colon Cancer - A Single Center Experience. Pril (Makedon Akad Nauk Umet Odd Med Nauki) 2024;45:47-58. [Crossref] [PubMed]
- Lugli A, Kirsch R, Ajioka Y, et al. Recommendations for reporting tumor budding in colorectal cancer based on the International Tumor Budding Consensus Conference (ITBCC) 2016. Mod Pathol 2017;30:1299-311. [Crossref] [PubMed]
- Chong GO, Park SH, Jeong SY, et al. Prediction Model for Tumor Budding Status Using the Radiomic Features of F-18 Fluorodeoxyglucose Positron Emission Tomography/Computed Tomography in Cervical Cancer. Diagnostics (Basel) 2021;11:1517. [Crossref] [PubMed]
- Chen F, Zhang S, Ma X, et al. Prediction of tumor budding in patients with rectal adenocarcinoma using b-value threshold map. Eur Radiol 2023;33:1353-63. [Crossref] [PubMed]
- Liu Z, Jia J, Bai F, et al. Predicting rectal cancer tumor budding grading based on MRI and CT with multimodal deep transfer learning: A dual-center study. Heliyon 2024;10:e28769. [Crossref] [PubMed]
- Chen Y, Liu X, Zeng H, et al. The clinical applications of dual-layer spectral detector CT in digestive system diseases. Eur Radiol 2025;35:3547-57. [Crossref] [PubMed]
- Chen J, Ni L, Gong J, et al. Quantitative parameters of dual-layer spectral detector computed tomography for evaluating differentiation grade and lymphovascular and perineural invasion in colorectal adenocarcinoma. Eur J Radiol 2024;178:111594. [Crossref] [PubMed]
- Chen J, Tang L, Xie P, et al. Quantitative parameters of dual-layer spectral detector computed tomography for evaluating Ki-67 and human epidermal growth factor receptor 2 expression in colorectal adenocarcinoma. Quant Imaging Med Surg 2024;14:789-99. [Crossref] [PubMed]
- Chen W, Ye Y, Zhang D, et al. Utility of dual-layer spectral-detector CT imaging for predicting pathological tumor stages and histologic grades of colorectal adenocarcinoma. Front Oncol 2022;12:1002592. [Crossref] [PubMed]
- Liu J, Pan H, Lin Q, et al. Added value of spectral parameters in diagnosing metastatic lymph nodes of pT1-2 rectal cancer. Abdom Radiol (NY) 2023;48:1260-7. [Crossref] [PubMed]
- Wang YL, Zhang HW, Mo YQ, et al. Application of dual-layer spectral detector computed tomography to evaluate the expression of Ki-67 in colorectal cancer. J Chin Med Assoc 2022;85:610-6. [Crossref] [PubMed]
- Tan X, Yang X, Hu S, et al. Predictive modeling based on tumor spectral CT parameters and clinical features for postoperative complications in patients undergoing colon resection for cancer. Insights Imaging 2023;14:155. [Crossref] [PubMed]
- Arico' FM, Trimarchi R, Portaluri A, et al. Virtual monoenergetic dual-layer dual-energy CT images in colorectal cancer: CT diagnosis could be improved? Radiol Med 2023;128:891-9. [Crossref] [PubMed]
- Sauter AP, Kössinger A, Beck S, et al. Dual-energy CT parameters in correlation to MRI-based apparent diffusion coefficient: evaluation in rectal cancer after radiochemotherapy. Acta Radiol Open 2020;9:2058460120945316. [Crossref] [PubMed]
- Shao C, He C, Zheng P, et al. Preoperative prediction of tumor budding and lymphovascular invasion in colon cancer using dual-energy CT: a prospective study with internal model validation. Abdom Radiol (NY) 2025;50:3406-14. [Crossref] [PubMed]
- Liu S, Zhang Y, Ju Y, et al. Establishment and Clinical Application of an Artificial Intelligence Diagnostic Platform for Identifying Rectal Cancer Tumor Budding. Front Oncol 2021;11:626626. [Crossref] [PubMed]
- Topal U, Guler S, Teke Z, et al. Diagnostic Value of Preoperative Haemoglobin, Albumin, Lymphocyte and Platelet (HALP) Score in Predicting Tumour Budding in Colorectal Cancer. J Coll Physicians Surg Pak 2022;32:751-7. [Crossref] [PubMed]
- Qu X, Zhang L, Ji W, et al. Preoperative prediction of tumor budding in rectal cancer using multiple machine learning algorithms based on MRI T2WI radiomics. Front Oncol 2023;13:1267838. [Crossref] [PubMed]
- Wang LM, Kevans D, Mulcahy H, et al. Tumor budding is a strong and reproducible prognostic marker in T3N0 colorectal cancer. Am J Surg Pathol 2009;33:134-41. [Crossref] [PubMed]
- Marx AH, Mickler C, Sauter G, et al. High-grade intratumoral tumor budding is a predictor for lymphovascular invasion and adverse outcome in stage II colorectal cancer. Int J Colorectal Dis 2020;35:259-68. [Crossref] [PubMed]
- Zenger S, Gurbuz B, Can U, et al. Is there no need to discuss adjuvant chemotherapy in stage II colon cancer patients with high tumor budding and lymphovascular invasion? Langenbecks Arch Surg 2023;408:127. [Crossref] [PubMed]
- Sert Bektaş S, Inan Mamak G, Cırış IM, et al. Tumor budding in colorectal carcinomas. Turk Patoloji Derg 2012;28:61-6. [Crossref] [PubMed]
- Liu X, Han T, Wang Y, et al. Prediction of Ki-67 expression in gastric gastrointestinal stromal tumors using histogram analysis of monochromatic and iodine images derived from spectral CT. Cancer Imaging 2024;24:173. [Crossref] [PubMed]
- Wang Y, Bai G, Liu Y, et al. Interpretable machine learning model based on CT semantic features and radiomics features to preoperatively predict Ki-67 expression in gastrointestinal stromal tumors. Sci Rep 2024;14:29336. [Crossref] [PubMed]
- Aboelnasr LS, El-Rebey HS, Mohamed A, et al. The Prognostic Impact of Tumor Border Configuration, Tumor Budding and Tumor Stroma Ratio in Colorectal Carcinoma. Turk Patoloji Derg 2023;39:83-93. [PubMed]
- Khan AA, Malik S, Jacob S, et al. Prognostic evaluation of cancer associated fibrosis and tumor budding in colorectal cancer. Pathol Res Pract 2023;248:154587. [Crossref] [PubMed]
- Lu W, Tan X, Zhong Y, et al. Spectral CT in the evaluation of perineural invasion status in rectal cancer. Jpn J Radiol 2024;42:1012-20. [Crossref] [PubMed]
- Zhang H, Li F, Jing M, et al. Nomogram combining pre-operative clinical characteristics and spectral CT parameters for predicting the WHO/ISUP pathological grading in clear cell renal cell carcinoma. Abdom Radiol (NY) 2024;49:1185-93. [Crossref] [PubMed]
- Chuang-Bo Y, Tai-Ping H, Hai-Feng D, et al. Quantitative assessment of the degree of differentiation in colon cancer with dual-energy spectral CT. Abdom Radiol (NY) 2017;42:2591-6. [Crossref] [PubMed]
- Righi A, Sarotto I, Casorzo L, et al. Tumour budding is associated with hypoxia at the advancing front of colorectal cancer. Histopathology 2015;66:982-90. [Crossref] [PubMed]
- Petrova V, Annicchiarico-Petruzzelli M, Melino G, et al. The hypoxic tumour microenvironment. Oncogenesis 2018;7:10. [Crossref] [PubMed]

