Atypical abdominal pain: uncovering malignant peritoneal mesothelioma in suspected Crohn’s disease: a case report
Highlight box
Key findings
• This case highlights the misdiagnosis of malignant peritoneal mesothelioma (MPM) as ileal Crohn’s disease (CD), which is a more common gastrointestinal (GI) disorder.
• The patient had non-resolving symptoms despite standard CD treatments, prompting further diagnostic investigation and leading to the discovery of MPM, confirmed by biopsy and histologic analysis.
What is known and what is new?
• MPM is a rare and aggressive cancer often associated with asbestos exposure, primarily affecting the abdominal cavity with no specialized guideline management. If peritoneal disease is suspected, diagnostic laparoscopy is essential as it is the only definitive way to directly inspect and biopsy the parietal peritoneum and serosal surfaces of the bowel, areas inaccessible to endoscopic biopsy.
• Emphasizing the importance of broadening the differential diagnosis in patients with non-specific abdominal symptoms, even when CD seems likely.
What is the implication, and what should change now?
• Clinicians must remain vigilant when evaluating patients with non-specific GI symptoms, especially when typical treatments fail.
• Reliance on endoscopic or mucosal biopsies alone may delay diagnosis of conditions. Granulomatous inflammation or sarcoid-like reactions can rarely be seen near malignant tumors and may mimic primary granulomatous diseases such as CD, tuberculosis or histoplasmosis.
• A comprehensive approach incorporating clinical evaluation, inflammatory markers (e.g., C-reactive protein, fecal calprotectin), and laparoscopic biopsy-confirmed pathology is crucial for timely diagnosis and effective management to differentiate between complex GI disorders and other potential causes such as MPM.
Introduction
Malignant peritoneal mesothelioma (MPM) is a rare malignancy confined to the abdominal cavity (1). In the United States, MPM accounts for about 10–15% of all mesothelioma cases, and this translates into approximately 600 new cases diagnosed annually (2). Most cases occur in Caucasians. Industrial pollutants including asbestos exposure is a well-known cause in pleural mesothelioma but less associated with peritoneal mesothelioma (3,4). Symptoms are variable and non-specific but predominantly include abdominal pain, abdominal distention, bloating, weight loss and early satiety. Due to non-specific clinical symptoms, diagnosis of MPM can be often delayed (5,6). We present a case report of reported ileal Crohn’s disease (CD) with an unexpected diagnosis of peritoneal mesothelioma. This case highlights the need for histologic confirmation of CD and thorough evaluation for other potential etiologies in complex cases. We present this case in accordance with the CARE reporting checklist (available at https://jgo.amegroups.com/article/view/10.21037/jgo-2025-272/rc).
Case presentation
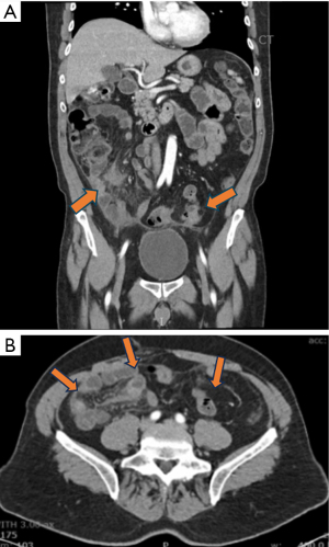
A 62-year-old Caucasian male with a history of diverticulitis was referred to an academic inflammatory bowel disease (IBD) center for reported ileal CD on Humira (adalimumab) 40 mg every 2 weeks. The patient had constant stabbing abdominal pain for 3 years associated with constipation. He had fatigue and early satiety resulting in significant weight loss. He had no history of tobacco use. His mother had colon cancer, but otherwise, there was no family history of malignancy. Although he had reported asbestos exposure for approximately 40 years working as a radio technician, he had no evidence of bilateral pleural plaques or fibrosis. He was diagnosed with ileal CD at an outside hospital based on video capsule endoscopy (VCE) significant for scattered erosions in the ileum. Prior esophagogastroduodenoscopy (EGD) and colonoscopies were unrevealing. He had multiple computed tomography (CT) imaging studies with ileal thickening and moderate inflammatory fat stranding (Figure 1). He did not have iron or B12 deficiency. Fecal calprotectin was not performed. He did not have histologic confirmation of CD. He was given multiple intermittent courses of prednisone by his primary care provider or during emergency room visits. His symptoms of abdominal pain resolved immediately with prednisone. Given his clinical presentation, erosions seen on VCE, ileal inflammation and thickening findings on imaging and improvement on prednisone, he was empirically started on Humira as insurance denied Stelara and Skyrizi. His clinical symptoms did not improve while on Humira.
On evaluation at University Medical Center New Orleans, Humira level was checked and was undetectable with moderate antibodies. Humira was discontinued. Magnetic resonance enterography (MRE) was performed which was largely unrevealing. Due to concern for possible other etiologies such as mesenteric adenitis or panniculitis to explain his symptoms, decision was made to perform a diagnostic laparoscopy. Diagnostic laparoscopy revealed peritoneal mesothelioma, confirmed by biopsy as diffuse, epithelioid type (Figure 2). The diagnosis was supported by positive staining for calretinin, pan-keratin, cytokeratin (CK)7, and CK5/6. Other malignancies were ruled out with negative carcinoembryonic antigen (CEA), MOC-31, CK20, CDX2, desmin, SOX-10, CD45, and S100. Negative results for gene fusions in NTRK1/2/3, ALK and RET (7,8). A summary of staining/markers indicative of MPM and a visual timeline of the patient’s clinical course are provided (Tables 1,2).
Table 1
| Stain/marker | Result | Diagnostic utility |
|---|---|---|
| CA125 (serum) | Elevated | Common in MPM, correlates with tumor burden |
| Calretinin | Positive | Mesothelial marker |
| Pan-keratin | Positive | Epithelial/mesothelial marker |
| CK7 | Positive | Epithelial/mesothelial marker |
| CK5/6 | Focally positive | Mesothelial marker |
| CEA | Negative | Excludes adenocarcinoma |
| MOC-31 | Negative | Excludes adenocarcinoma |
| CK20 | Negative | Excludes GI adenocarcinoma |
| CDX2 | Negative | Excludes GI adenocarcinoma |
| Desmin | Negative | Excludes sarcoma |
| SOX-10 | Negative | Excludes melanoma/neural tumors |
| CD45 | Negative | Excludes lymphoma |
| S100 | Negative | Excludes melanoma/neural tumors |
| Claudin 4 | Not available | Carcinoma marker (if negative, supports MPM) |
| NTRK1/2/3, ALK, RET fusions | Negative | Rare in MPM, supports diagnosis, genetic mutations |
CA125, carbohydrate antigen 125; CEA, carcinoembryonic antigen; CK, cytokeratin; GI, gastrointestinal; MPM, malignant peritoneal mesothelioma.
Table 2
| Timeline | Event/intervention | Key findings/actions |
|---|---|---|
| 2021 | Symptom onset | Abdominal symptoms begin; persist for ~3 years |
| December 2022 | CT abdomen | Inflammatory changes in right lower quadrant and lower mid-abdomen, small bowel wall thickening, sigmoid colon inflammation |
| June 2023 | CTE | Resolution of prior right upper quadrant omental fat stranding; new left upper quadrant omental fat stranding and peritoneal thickening |
| December 2023 | Colonoscopy | No evidence of Crohn’s disease in terminal ileum or colon; diverticula in terminal ileum and sigmoid colon |
| February 2024 | VCE | Several small non-bleeding erosions and mild patchy erythema in small bowel |
| February 2024 | Initial diagnosis of ileocolonic Crohn’s disease | Diagnosis based on clinical, imaging, and VCE findings |
| April 2024 | Initiation of Humira (adalimumab) therapy | Started for presumed Crohn’s disease |
| May 2024 | Discontinuation of Humira | Low drug level, high antibody level (immune-mediated drug failure) |
| June 2024 | Magnetic resonance enterography | No active bowel inflammation; small volume free intraperitoneal fluid |
| July 2024 | Diagnostic laparoscopy with peritoneal biopsies | Histology and immunostaining confirm peritoneal mesothelioma |
CT, computed tomography; CTE, computed tomography enterography; VCE, video capsule endoscopy.
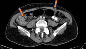
CT chest revealed no evidence of thoracic metastatic disease. Staging workup at that time revealed no evidence of extra-peritoneal disease. Repeat diagnostic laparoscopy a week later to evaluate for cytoreductive surgery revealed diffuse intraperitoneal disease with majority of small bowel and small bowel mesentery involved with cancer. The patient was deemed a nonsurgical candidate and referred to MD Anderson for opinion regarding further management. Repeat CT imaging one month later showed increasing peritoneal carcinomatosis (Figure 3). The patient was recommended palliative systemic chemo-immunotherapy on protocol 2022-0982 (phase 2 randomized trial of neoadjuvant or palliative chemotherapy with or without immunotherapy for peritoneal mesothelioma) and was randomized to Arm 1 with carboplatin + pemetrexed + bevacizumab + atezolizumab (9).
All procedures performed in this study were in accordance with the ethical standards of the institutional and/or national research committee(s) and with the Declaration of Helsinki and its subsequent amendments. Written informed consent for publication of this case report and accompanying images was not obtained from the patient or the relatives after all possible attempts were made.
Discussion
This case highlights the critical importance of maintaining a broad differential diagnosis when evaluating non-specific abdominal symptoms. While CD was initially suspected due to bowel wall thickening seen on imaging and erosions on VCE, the patient never had a confirmed diagnosis of CD as histology was not obtained via enteroscopy. The scattered ileal erosions may represent a normal variant, nonsteroidal anti-inflammatory drug (NSAID)-induced enteropathy, or ischemia, though the latter typically presents in a segmental distribution. It is suspected that the patient had a spontaneous mesothelioma since pathogenic germline variants were not found. Despite patient reported asbestos exposure, he did not have long-term effects noted in his lungs.
The patient’s prompt symptomatic improvement with prednisone may be due to the potent anti-inflammatory and immunosuppressive effects of corticosteroids, which transiently suppress both tumor-associated and paraneoplastic inflammatory responses. Peritoneal mesothelioma often induces a robust inflammatory environment in the peritoneum, leading to symptoms such as abdominal pain and ascites with elevated systemic inflammatory markers. Glucocorticoids can reduce cytokine production (notably IL-6), vascular permeability, and leukocyte infiltration, thereby alleviating these symptoms even in the absence of true autoimmune or granulomatous disease. It is also important to recognize that granulomatous or sarcoid-like reactions can occur in the vicinity of tumors, including mesothelioma, and these inflammatory changes are steroid-responsive, potentially mimicking primary granulomatous diseases (e.g., CD, tuberculosis, or histoplasmosis). This can further confound the clinical picture and lead to a misleading but rapid clinical response to steroids. However, this response is typically transient, and symptoms often recur or progress as the underlying malignancy advances (10,11).
In patients with persistent symptoms and radiographic abnormalities, pursuing diagnostic laparoscopy is essential. It remains the only definitive method to directly inspect the parietal peritoneum and the serosal surfaces of the bowel, which are inaccessible to endoscopic biopsy and may harbor pathology not evident on mucosal sampling. Laparoscopy with biopsy is the gold standard for diagnosing MPM, as imaging and cytology lack specificity and fine-needle or endoscopic biopsies may not provide adequate tissue or access to the relevant surfaces (7,12).
Historically, MPM carried a poor prognosis. The median overall survival ranges from 6 to 12 months without treatment. However early diagnosis, individualized treatment plans based on specific disease characteristics and specialized treatment centers have improved outcomes (4,13,14). With cytoreductive surgery and hyperthermic intraperitoneal chemotherapy this combination has significantly improved survival rates. Median overall survival can extend from 34 to 92 months, with 5-year survival rates between 39% and 91%, depending on factors like tumor burden and histological subtype (5,15). For patient’s ineligible for surgery, chemotherapy regimens such as pemetrexed combined with cisplatin have shown median overall survival of approximately 13.1 months (6,14).
As an educational tool for gastroenterology and oncology providers, this case challenges reliance on clinical impressions, encourages diagnostic laparoscopic biopsy and further workups for atypical presentations to avoid missed or delayed diagnoses of rare but serious conditions. On the other hand, it is limited in generalizability as a single case report. This case also illustrates the impact of cognitive heuristics, such as anchoring and premature closure, where overreliance on an initial diagnosis (e.g., CD) despite persistent unexplained findings and poor response to therapy can hinder timely consideration of alternative diagnoses such as MPM.
Conclusions
This case report highlights a rare, atypical presentation of peritoneal mesothelioma in setting of asbestos exposure in a patient thought to have ileal CD, illustrating the complexities in diagnosing peritoneal mesothelioma. This case underscores the need for vigilant monitoring using clinical evaluation, objective markers with labs, imaging, endoscopy and histopathology to accurately diagnose diseases, assess disease activity and guide treatment. It is imperative to consider other etiologies particularly in the setting of non-specific symptoms to ensure appropriate diagnosis and treatment plan.
Acknowledgments
The abstract has previously been published in the Advances in Inflammatory Bowel Diseases (AIBD) Abstract Book.
Footnote
Reporting Checklist: The authors have completed the CARE reporting checklist. Available at https://jgo.amegroups.com/article/view/10.21037/jgo-2025-272/rc
Peer Review File: Available at https://jgo.amegroups.com/article/view/10.21037/jgo-2025-272/prf
Funding: None.
Conflicts of Interest: All authors have completed the ICMJE uniform disclosure form (available at https://jgo.amegroups.com/article/view/10.21037/jgo-2025-272/coif). The authors have no conflicts of interest to declare.
Ethical Statement: The authors are accountable for all aspects of the work in ensuring that questions related to the accuracy or integrity of any part of the work are appropriately investigated and resolved. All procedures performed in this study were in accordance with the ethical standards of the institutional and/or national research committee(s) and with the Declaration of Helsinki and its subsequent amendments. Written informed consent for publication of this case report and accompanying images was not obtained from the patient or the relatives after all possible attempts were made.
Open Access Statement: This is an Open Access article distributed in accordance with the Creative Commons Attribution-NonCommercial-NoDerivs 4.0 International License (CC BY-NC-ND 4.0), which permits the non-commercial replication and distribution of the article with the strict proviso that no changes or edits are made and the original work is properly cited (including links to both the formal publication through the relevant DOI and the license). See: https://creativecommons.org/licenses/by-nc-nd/4.0/.
References
- Yaşar S, Yılmaz F, Utkan G, et al. Analysis of Treatment Strategies and Outcomes in Malignant Peritoneal Mesothelioma: Insights From a Multi-Center Study. Ann Surg Oncol 2024;31:6228-36. [Crossref] [PubMed]
- Centers for Disease Control and Prevention. United States Cancer Statistics: Mesothelioma. Published 2023. [accessed January 21, 2025]. Available online: https://www.cdc.gov/united-states-cancer-statistics/publications/mesothelioma.html
- UpToDate. Malignant peritoneal mesothelioma: Epidemiology, risk factors, clinical presentation, diagnosis, and staging. Published January 2024. [accessed January 21, 2025]. Available online: https://www.uptodate.com/contents/malignant-peritoneal-mesothelioma-epidemiology-risk-factors-clinical-presentation-diagnosis-and-staging
- Villeneuve L, Passot G, Glehen O, et al. The RENAPE observational registry: rationale and framework of the rare peritoneal tumors French patient registry. Orphanet J Rare Dis 2017;12:37. [Crossref] [PubMed]
- Karpes JB, Shamavonian R, Dewhurst S, et al. Malignant Peritoneal Mesothelioma: An In-Depth and Up-to-Date Review of Pathogenesis, Diagnosis, Management and Future Directions. Cancers (Basel) 2023;15:4704. [Crossref] [PubMed]
- Dusseault SK, Okobi OE, Thakral N, et al. Primary Peritoneal Mesothelioma: Diagnostic Challenges of This Lethal Imposter. Case Rep Gastroenterol 2022;16:588-94. [Crossref] [PubMed]
- Ettinger DS, Wood DE, Stevenson J, et al. Mesothelioma: Peritoneal, Version 2.2023, NCCN Clinical Practice Guidelines in Oncology. J Natl Compr Canc Netw 2023;21:961-79. [Crossref] [PubMed]
- Tandon RT, Jimenez-Cortez Y, Taub R, et al. Immunohistochemistry in Peritoneal Mesothelioma: A Single-Center Experience of 244 Cases. Arch Pathol Lab Med 2018;142:236-42. [Crossref] [PubMed]
- Phase 2 randomized trial of neoadjuvant or palliative chemotherapy with or without immunotherapy for peritoneal mesothelioma (Alliance A092001). ASCO. Published 2025. [accessed April 23, 2025]. Available online: https://www.asco.org/abstracts-presentations/ABSTRACT421522
- Malpica A, Euscher ED, Marques-Piubelli ML, et al. Malignant Mesothelioma of the Peritoneum in Women: A Clinicopathologic Study of 164 Cases. Am J Surg Pathol 2021;45:45-58. [Crossref] [PubMed]
- Taniguchi Y, Kurokawa Y, Hagi T, et al. Methylprednisolone Inhibits Tumor Growth and Peritoneal Seeding Induced by Surgical Stress and Postoperative Complications. Ann Surg Oncol 2019;26:2831-8. [Crossref] [PubMed]
- McCallum RW, Maceri DR, Jensen D, et al. Laparoscopic diagnosis of peritoneal mesothelioma. Report of a case and review of the diagnostic approach. Dig Dis Sci 1979;24:170-4. [Crossref] [PubMed]
- Ghabra S, Dinerman AJ, Sitler CA, et al. The rare occurrence of unifocal peritoneal mesothelioma: a case report, literature review, and future directions. J Gastrointest Oncol 2024;15:1939-47. [Crossref] [PubMed]
- Broeckx G, Pauwels P. Malignant peritoneal mesothelioma: a review. Transl Lung Cancer Res 2018;7:537-42. [Crossref] [PubMed]
- Salo SAS, Ilonen I, Laaksonen S, et al. Malignant Peritoneal Mesothelioma: Treatment Options and Survival. Anticancer Res 2019;39:839-45. [Crossref] [PubMed]

