ZNF529 up-regulation speeds up progression and induces tyrosine kinase inhibitor resistance in hepatocellular carcinoma
Highlight box
Key findings
• ZNF529 mRNA expression is significantly higher in hepatocellular carcinoma (HCC) samples compared to non-cancerous liver tissue [standardized mean difference (SMD) =0.26, 95% confidence interval (CI): 0.14–0.38], with elevated protein levels confirmed by immunohistochemistry, particularly correlating with alpha-fetoprotein (AFP) expression.
• High zinc finger protein 529 (ZNF529) expression is associated with a significantly increased risk of poor prognosis in HCC (hazard ratio =1.94, 95% CI: 1.38–2.73).
• ZNF529 is up-regulated in tyrosine kinase inhibitor (TKI)-resistant samples (SMD =0.63, 95% CI: 0.07–1.19).
• Functional enrichment analysis indicates ZNF529 involvement in RNA metabolism and cellular transport.
What is known and what is new?
• HCC has poor prognosis, and TKI resistance is a major challenge in its treatment. Various biomarkers have been explored for prognostic prediction and therapeutic targeting in HCC, but the role of ZNF529 in HCC remains unclear.
• This study is the first to systematically demonstrate that ZNF529 is significantly up-regulated in HCC at both mRNA and protein levels. It establishes ZNF529 as a prognostic biomarker, with high expression linked to poor outcomes. Additionally, it reveals ZNF529 up-regulation in TKI-resistant samples, suggesting its potential role in mediating drug resistance, and identifies its involvement in RNA metabolism and cellular transport, providing insights into its functional mechanisms in HCC.
What is the implication, and what should change now?
• ZNF529 holds promise as a novel prognostic biomarker for HCC, aiding in risk stratification of patients. Its association with TKI resistance suggests it could be a potential therapeutic target to overcome drug resistance, improving treatment efficacy.
• Further preclinical studies are required to validate the functional role of ZNF529 in HCC progression and TKI resistance, including in vitro and in vivo experiments to explore its molecular mechanisms. Clinical studies should be designed to evaluate the utility of ZNF529 as a prognostic marker in larger cohorts. Additionally, research into ZNF529-targeted therapies, such as small molecule inhibitors or gene silencing approaches, should be initiated to assess their potential in HCC treatment, especially for TKI-resistant cases.
Introduction
Liver cancer remains a critical public health issue globally, with an increasing incidence reported worldwide (1-3). Hepatocellular carcinoma (HCC) comprises approximately 75–85% of primary liver cancer cases, with intrahepatic cholangiocarcinoma comprising about 10–15%, alongside other less common forms (3,4). For patients diagnosed in the early stages of HCC, options such as liver resection, transplantation and localised treatments (including ablation and targeted therapies) (5) are generally recommended, whereas systemic therapies are advocated for those in advanced stages (6). Recent developments in systemic treatments, including tyrosine kinase inhibitors (TKIs), immune checkpoint inhibitors and monoclonal antibodies, are increasingly prominent in the therapeutic landscape (7-9).
TKIs, such as sorafenib represent established first-line therapies for advanced-stage diseases; however, the emergence of immunotherapy offers alternative modern strategies. Sorafenib can suppress tumour cell proliferation and angiogenesis while simultaneously inducing apoptosis. This action is conciliated by inhibiting Raf-1 and B-Raf serine-threonine kinases, as well as the receptor tyrosine kinase activities of the vascular endothelial growth factor receptors and the platelet-derived growth factor receptor β (10). Despite these capabilities, the long-term efficacy of sorafenib is limited by the development of resistance in many patients (11). In response, newer TKIs such as regorafenib (second-line), lenvatinib (first-line) and cabozantinib (second-line) have been developed and approved for treating HCC (12-14). Clinical benefits from these treatments have been observed in approximately 30% of patients, although resistance typically develops within six months (11). Multiple mechanisms underlying drug resistance have been identified. For instance, Wu et al. identified an AKT/FOXO1/TRIM15/LASP1 loop that affects the sensitivity of HCC cells to TKIs (15). Furthermore, studies have demonstrated that overexpression of hypoxia-inducible factor 1α contributes to sorafenib resistance by upregulating RIT1 (16), while additional pathways such as NF-kappa B (17), mitogen-activated protein kinase (18) and epidermal growth factor receptor (EGFR) redistribution (19) also play roles in the resistance to sorafenib in HCC. Nevertheless, the comprehensive mechanisms of resistance to TKIs in HCC remain incompletely understood.
Identifying novel biomarkers is of great significance for the treatment of HCC (20,21). Zinc finger protein 529 (ZNF529), a component of the zinc finger protein (ZNF) family, is implicated in gene transcription regulation by engaging in RNA/DNA bidirectional binding and protein-protein interactions (22). The dysregulated expression of ZNFs is considered critical for the pathogenesis and progression of HCC (23). In addition, the ZNF family influences cancer prognosis, immune infiltration, the tumour microenvironment, epigenetic modifications and drug responsiveness (24). It is hypothesised that ZNF529 may exert a regulating effect on the development of HCC and the emergence of TKI resistance, drawing on existing studies of the ZNF family.
In this research, we initially examined the expression levels of ZNF529 in HCC and TKI-resistant HCC. In addition, we explored how ZNF529 expression correlates with clinicopathological features and survival outcomes in patients with HCC to ascertain the function of ZNF529 in both HCC and its resistance to TKIs. We present this article in accordance with the MDAR reporting checklist (available at https://jgo.amegroups.com/article/view/10.21037/jgo-2025-297/rc).
Methods
Differential expression of ZNF529
Assessment of differential ZNF529 messenger RNA (mRNA) expression in HCC
Integrative analyses were conducted to evaluate the differential expression of ZNF529 in HCC tissues compared to their non-HCC counterparts. Data sources included the Gene Expression Omnibus (GEO), ArrayExpress, Sequence Read Archive (SRA), International Cancer Genome Consortium (ICGC), the Genotype-Tissue Expression (GTEx) project and The Cancer Genome Atlas (TCGA). The search terms used for data retrieval were ‘hepatocellular carcinoma’ and ‘HCC’. Inclusion criteria specified human samples with available ZNF529 expression data and a minimum of three HCC tissue and non-tumour control samples. Data were retrieved up until September 24, 2023. Exclusion criteria included groups comprising fewer than three samples, a lack of ZNF529 expression data, and samples characterised as metastatic or recurrent HCC. Data processing involved merging datasets from identical GEO platforms to create an aggregated matrix. The mRNA expression data were normalised and log-transformed using the log2(x+1) method. Batch effects were corrected using the R packages ‘limma’ and ‘sva’.
Expression of ZNF529 mRNA in HCC cell lines
The expression levels of ZNF529 in HCC cell lines were examined using the RNA-seq-based mRNA expression data (RSEM TPM values) from the Cancer Cell Line Encyclopedia (CCLE) database (release 2019), which encompasses genomic profiles of over 1,400 cancer cell lines, including 28 HCC models such as HUH7, HEP3B, and PLC/PRF/5 (25).
ZNF529 protein expression in HCC tissues
To further investigate ZNF529 expression in HCC, tissue microarrays comprising 99 paired HCC and corresponding non-tumour tissue samples were sourced from Yulin Red Cross Hospital. No preoperative treatments were administered to the patients. Comprehensive clinicopathological data were collected, including age, sex, histopathological features and staging parameters, such as tumor, node, metastasis (TNM) classification, alpha-fetoprotein (ATP) levels, Child-Pugh score and Barcelona Clinic Liver Cancer stage (BCLC) stage. The collection of relevant samples and patient information was obtained with the informed consent of the patients. Ethical approval was granted by Yulin Red Cross Hospital (No. 2024(8)). This study was conducted in accordance with the Declaration of Helsinki and its subsequent amendments. For the preparation of the slides, 2µm-thick sections were cut from paraffin blocks and heated at 80 ℃ for 25 min to remove paraffin. The sections underwent a dewaxing process, followed by a 15-min incubation in 3% H2O2. They were then rinsed with distilled water and phosphate-buffered saline (PBS). Immunostaining involved treating the sections with a monoclonal rabbit anti-ZNF529 antibody (catolog: ab180526), followed by washing in PBS. The tissue sections were restained, dehydrated, cleared and mounted. Controls included adjacent non-cancerous tissue sections as the positive control and PBS as the negative control. Immunohistochemical (IHC) analyses were integrated with data to examine both HCC and adjacent non-cancerous tissues. Two pathologists blinded to the sample origins independently assessed the stained slides. The assessment criteria included both the percentage of cells demonstrating positive staining and the staining intensity. For the percentage of positive cells, scoring was as follows: 0 indicated no expression, 1 signified less than 10% positive cells, 2 indicated 10–35% positive cells, 3 represented 36–75% positive cells, and 4 was assigned for more than 75% positive cells. The intensity of staining was scored on a scale from 0 for no staining, 1 for faint cytoplasmic staining, 2 for moderate yellow staining, to 3 for intense brown-yellow staining (26-28). The total score was calculated by multiplying the intensity of staining by the proportion of cells exhibiting positivity. In cases where there was a discrepancy between the evaluations of the two pathologists, the mean of their scores was used as the final score.
Analysis of ZNF529 expression in single cells
To examine the single-cell expression profiling of the ZNF529 gene in HCC, our research used single-cell RNA sequencing data from the GEO dataset GSE245906 on the GPL24676 platform. Cell selection criteria in our analysis included those exhibiting between 200 and 2,500 RNA features and mitochondrial DNA contents below 5%, using the Seurat package. The NormalizeData function facilitated data normalisation. Batch effects, which are often introduced by varying sequencing technologies, were mitigated using the Harmony package. Principal component analysis (PCA) was performed using the FindVariableFeatures function, set with a resolution parameter of 0.5. For further dimensionality reduction, uniform manifold approximation and projection (UMAP) were utilised, processing dimensions 1 to 20. To illustrate our findings, we visualised the principal component analysis results in a two-dimensional plot that highlighted differences in ZNF529 expression between normal and HCC cells.
Predictive potential and prognostic value of ZNF529
Evaluating the predictive capabilities of ZNF529 in HCC patients involved extracting true positives (tp), false positives (fp), false negatives (fn) and true negatives (tn) from each study derived from the Youden Index. The summary receiver operating characteristic (SROC) was analysed with STATA 12.0. Additionally, the area under the curve (AUC) and the sensitivity and specificity were summarised. Data on expression, survival status and survival time were also gathered from the GEO, TCGA and ArrayExpress databases. The predictive significance of ZNF529 in HCC patients was assessed through survival analysis using the Kaplan-Meier (KM) method. The expression levels of ZNF529 were categorized using the surv_cutpoint function from the survminer package. Patients were classified into high or low expression groups based on whether their cancer tissue expression of ZNF529 was above or below the optimal cut-off point, respectively.
Involvement of ZNF529 in HCC TKI resistance
ZNF529 expression of HCC with TKI resistance
Datasets from the GEO, SRA and ArrayExpress databases concerning TKI-resistant HCC were collected to explore the involvement of ZNF529 in TKI resistance. The datasets were searched using keywords including ‘hepatocellular carcinoma’, ‘HCC’, ‘hepatic carcinoma’, ‘Tyrosine Kinase Inhibitor’ and ‘TKI’, along with names of specific TKIs such as sorafenib, nexavar, regorafenib, stivarga and others. The inclusion criteria specified that the samples must be derived from HCC tissues or cell lines, with TKI-sensitive HCC samples as controls and TKI-resistant HCC samples as the experimental group. Each group needed a minimum of three samples to be included. Exclusion criteria were set for samples of fewer than three and those lacking expression of ZNF529. The selected datasets were then normalised and transformed using the log2(x+1) method to prepare for further analysis.
Potential mechanism of ZNF529 in HCC with TKI resistance
The meta package (version 4.18-2) was employed to analyse the SMD across 61,521 genes between HCC tissue and non-HCC liver tissue samples, aiming to elucidate the pathogenic molecular mechanisms of ZNF529 in HCC. Overexpressed genes (OEG) in HCC samples were identified based on the following criteria: (I) expression in at least three studies, (II) SMD >0 and (III) 95% confidence interval (CI) did not overlap with zero. Additionally, Spearman correlation analysis was conducted to pinpoint genes co-expressed with ZNF529. These co-expressed genes (CEGs) were selected according to: (I) co-expression with ZNF529 in at least 10 studies, (II) a Spearman correlation coefficient ≥0.30, and (III) P<0.05. Subsequent analysis intersected HCC OEGs with ZNF529 CEGs. The overlapping genes were further annotated using clusterProfiler, exploring potential pathogenic mechanisms through Gene Ontology (GO) and the Kyoto Encyclopedia of Genes and Genomes (KEGG).
Molecular docking of targeted ZNF529 for HCC
Potential drug candidates that could significantly reduce ZNF529 expression were examined using the Drug Gene Budger (DGB) database (29). Corrections for batch effects in the original LINCS L1000 datasets were made using the combat package, while P were calculated using the limma package. The Benjamini–Hochberg method was utilised to determine q values (30). Drugs specifically targeting ZNF529 were identified by selecting those with the three smallest log(fold change) values, along with P and q values below 0.05. Molecular docking to assess the interactions between these drugs and ZNF529 followed. The crystal structure of ZNF529, available from the Research Collaboratory for Structural Bioinformatics Protein Data Bank (RCSB PDB) database (PDB ID: AF_AFQ6P280F1), was prepared by removing solvent molecules and co-crystallised ligands using PyMOL 2.4. The active site of ZNF529 was predicted using POCASA 1.1. Drug structures were sourced from the PubChem database and prepared with AutoDockTools. Docking simulations were conducted using AutoDock Vina 1.5.7 (Grid Box: Center_x=11.687, Center_y=5.292, Center_z=-13.396 (Å); Size_x=77.35, Size_y=77.35, Size_z=77.35 (Å)), with a focus on lower affinity energy values to signify stronger binding to ZNF529’s active site. Visualisation of docking models was performed using PyMOL.
Statistical analysis
Due to the instability and randomness inherent in analyses based on small or single samples, a broader assessment was performed. This involved mRNA microarray and sequencing data to delineate the general expression pattern of ZNF529 in HCC compared to non-cancerous liver tissue. The Wilcoxon test, executed in Statistical Package for the Social Sciences (SPSS) version 22.0, assessed the expression discrepancies of ZNF529 between HCC and non-tumour tissues. Visualisation of these differences was achieved using the ggplot2 package. Statistical significance was set at P<0.05. Furthermore, the standardized mean difference (SMD) and 95% CI were calculated using the STATA 12.0 software. The choice between a random effects model and a fixed effects model was guided by I2 and Chi-squared tests, with the former being adopted in cases of high heterogeneity (I2>50% and P<0.05). The Begg’s test assessed publication bias in the integrated analysis, where P>0.05 suggested an absence of bias. Additionally, the relationship between ZNF529 protein expression and clinicopathologic features was analysed through independent-samples t-tests or ANOVA. Figure S1 displays the study’s flowchart.
Results
High expression of ZNF529 in HCC
Up-regulation of ZNF529 mRNA in HCC tissue
Figure S2 displays the process for public data screening. In HCC, compared to non-tumour liver tissue, ZNF529 expression was elevated. This expression pattern across various studies is depicted in the violin plots shown in Figure 1A. Our comprehensive analysis indicated that the SMD was 0.26 (95% CI: 0.14–0.38). This suggests a statistically significant increase in ZNF529 expression in 4,556 HCC samples compared to 3,304 non-HCC controls, as illustrated in Figure 1B.
Assessment of ZNF529 mRNA expression in HCC cell lines
Figure 2 illustrates the variability in ZNF529 expression across 20 HCC cell lines derived from the CCLE database. The data revealed differential expression levels of ZNF529 among the cell lines, with SNU-398 and SNU-449 exhibiting the highest expression.
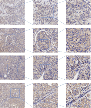
Comparative analysis of ZNF529 protein expression in adjacent non-HCC and HCC tissues
In this study, the expression levels of the ZNF529 protein in both HCC and adjacent non-cancerous tissues were assessed. IHC revealed negligible to weak staining of the ZNF529 protein in non-cancerous tissues, as shown in Figure 3, whereas HCC samples displayed moderate to strong staining, as depicted in Figure 4. Quantitative evaluation of ZNF529 expression in HCC was conducted using a violin plot and an ROC curve. The ROC analysis demonstrated a significant up-regulation of ZNF529 in HCC tissues, with an AUC of 0.962 (95% CI: 0.943–0.981), as illustrated in Figure S3A. The comparative analysis confirmed a markedly elevated expression of ZNF529 protein in HCC tissues over adjacent non-cancerous tissues, with statistical significance (P<0.001) shown in Figure S3B. Furthermore, the study investigated the differences between ZNF529 protein levels and clinicopathological features of HCC patients using independent-samples t-tests and ANOVA analysis. The findings identified a significant difference only between ZNF529 protein expression and AFP levels (P<0.05, Table S1).
Single-cell analysis revealed elevated ZNF529 expression in HCC
Upon the implementation of quality control standards and the enhancement of clustering techniques, we successfully isolated 30,491 cells from HCC samples and 32,934 cells from normal tissues (Figure S4A,S4B). Subsequent analyses indicated a marked increase in the levels of ZNF529 in single cells sourced from HCC tissues, with statistical significance (P<0.001) noted in Figure S4C.
Prognostic role of ZNF529 in HCC
The screening process for prognostic data related to HCC is depicted in Figure S5. Given the considerable heterogeneity observed in the studies (I2=78%, P<0.05), a random-effects model was applied to account for this variability. The SROC curve demonstrated an AUC of 0.7033, sensitivity of 0.5335 and specificity of 0.7609 (Figure 5A,5B), pointing to the upregulation of ZNF529 in HCC tissues. KM plots for the three studies were generated, demonstrating that higher expression of ZNF529 was clearly associated with poorer prognoses (Figure 5C-5E). To validate these findings, Cox regression analysis was employed to more effectively compare the survival curves. An integrated analysis of the Cox regression results was performed, revealing that the hazard ratio for the high-expression group was 1.94, with a 95% CI ranging from 1.38 to 2.73, as illustrated in the forest plot (Figure 5F). These results confirm that higher ZNF529 expression is indeed associated with adverse outcomes.
Role of ZNF529 in TKI-resistant samples
ZNF529 expression of HCC with TKI resistance
The procedure for selecting TKI resistance data is detailed in Figure S6. Eleven datasets were retrieved from a public database, comprising 41 TKI-resistant HCC samples and 35 TKI-sensitive HCC samples. The mean and standard deviation for each dataset were computed for the subsequent integration analysis. The integrated results revealed an SMD of 0.63 (95% CI: 0.07–1.19), indicating an up-regulation of ZNF529 in TKI-resistant HCC compared to controls (Figure 6A). Due to low study heterogeneity (I2=40%, P<0.05), a fixed-effects model was employed. However, significant publication bias was detected in the funnel plot (P<0.05, Figure 6B), prompting a second integrated analysis using the trim-and-fill method; this adjusted the SMD to 0.42 (95% CI: −0.44 to 1.28). Given the increased heterogeneity in this analysis (I2=54%, P<0.01), a random effects model was applied. The corrected findings indicated no significant difference in ZNF529 expression between the TKI-resistant and non-resistant groups (Figure 6C). The AUC of the SROC was 0.9692, with a sensitivity of 0.9295 and a specificity of 0.8374 (Figure 6D).
Biological mechanisms of ZNF529 in TKI resistance in HCC
In the analysis of TKI resistance datasets, the Pearson correlation test identified genes positively correlated with ZNF529. Subsequently, genes exhibiting high expression were selected using the R package ‘limma’. The intersection of these gene sets, deemed potential targets in the biological mechanisms involving ZNF529, comprised 945 genes. GO analysis highlighted the primary biological processes associated with these genes, with mRNA processing, RNA splicing and RNA transport emerging as the top categories (Figure S7A). Additionally, KEGG pathway analysis identified the most significant pathways as nucleocytoplasmic transport, cell cycle and mRNA surveillance pathways. The key pathways are depicted in Figure S7B.
Scriptaid, trichostatin A and vorinostat specifically target ZNF529 in HCC
To investigate potential drugs that target ZNF529, we employed molecular docking to assess drug-ZNF529 interactions. Our analyses identified scriptaid, trichostatin A and vorinostat as potent inhibitors of ZNF529. Detailed interactions are summarised in Table S2. Specifically, hydrogen bonds were identified between scriptaid and ASP-66, trichostatin A and the amino acids ASN-62, ARG-120 and GLN-124 and vorinostat and MET-68 of ZNF529. These interactions are depicted in Figure 7, Figures S8,S9, respectively.
Discussion
The relationship between ZNF529 and HCC remains largely unexplored. In an unprecedented multi-centre investigation, we compared ZNF529 expression across 4,556 HCC and 3,304 non-cancerous liver samples. This comprehensive evaluation aimed to ascertain the clinical implications of ZNF529 in HCC by analysing both prognostic significance and resistance to TKIs through transcriptome data sets. Our findings reveal significant differential expression of ZNF529 between cancerous and non-cancerous liver tissues. In addition, we evaluated the utility of ZNF529 as a biomarker for the early diagnosis of the disease and investigated its associated regulatory pathways and genes. Moreover, we performed drug prediction and molecular docking to identify potential therapeutic agents targeting ZNF529 to overcome TKI resistance in HCC.
ZNF529 has garnered interest in recent scientific studies. Zhu et al. used the glmnet package to identify genes differentially expressed in osteoarthritis, highlighting ZNF529 as a key gene involved (31). Similarly, Nielsen et al. conducted a genome-wide study involving blood samples from 69,479 individuals in Norway, suggesting that targeting ZNF529 or its products could be promising for treating cardiovascular diseases (32). However, these investigations were constrained either by dataset size or geographic scope, limiting their broader applicability. In our extensive analysis across 38 platforms, we observed elevated ZNF529 expression in HCC tissues compared to non-cancerous tissues. Our findings, supported by analyses at the mRNA and protein levels, as well as single-cell studies, confirm the significant up-regulation of ZNF529 in HCC.
High levels of ZNF529 expression were observed at both the genomic and cellular levels, prompting further investigation into its clinical relevance in HCC. KM and univariate Cox regression analyses were conducted to assess the prognostic significance of ZNF529 in HCC. The findings clearly identified ZNF529 as an independent prognostic risk factor associated with reduced overall survival times in patients with elevated expression levels. Additionally, significant overexpression of ZNF529 was detected in HCC samples resistant to TKIs. Notably, the presence of substantial publication bias necessitated the use of the trim-and-fill method to correct for this discrepancy (33-35). The trim-and-fill method, designed to detect and address publication bias, operates by assessing the symmetry of study distributions in a forest plot (36-38). Initially, it identifies potential bias, “trims” studies likely influenced by this bias to recalculate a central effect size and subsequently “fills” the plot with an equivalent number of mirror studies to restore symmetry and provide an adjusted effect size estimate (38,39). After applying this correction for publication bias, the recalculated integrative analysis yielded results with a 95% CI that included zero, indicating no significant effect. Several studies have highlighted that while the trim-and-fill method is effective in adjusting for publication bias, it operates under assumptions regarding the quantity and direction of unpublished studies, which might not always hold true (36,40). Furthermore, this method might fail to account for other forms of bias, such as selective outcome reporting or issues with the quality of the data in the original studies (41,42). Consequently, although the trim-and-fill method offers a more conservative estimate of effect size, its results should be approached with caution. The research revealed that ZNF529 mediates TKI resistance in HCC by affecting RNA metabolism and cellular transport, as evidenced through GO and KEGG pathway analysis. Similarly, Fustaino et al. established an lncRNA-mRNA co-expression network, uncovering key modules that contribute to TKI resistance in non-small cell lung cancer (NSCLC) through a variety of processes, including cell adhesion, migration, cellular organisation and metabolism, particularly lipid metabolism, based on the correlation of mRNA and lncRNA expression in an NSCLC cellular model (43). In addition, by genotyping 111 stage IIIB or IV lung adenocarcinoma patients treated with gefitinib, Yuan et al. linked BIM deletion polymorphism with an increased risk of gefitinib resistance. Analysis utilising the Cox proportional hazards model suggested that the presence of a 2903 bp deletion in intron 2 of the BIM gene, which potentially alters RNA splicing, may lead to the production of non-apoptotic BIM isoforms and consequent resistance to EGFR-TKIs (44). Li et al. demonstrated that increased expression of DDX17 contributes to enhanced resistance to gefitinib in NSCLC cells. Conversely, the suppression of DDX17 expression was associated with a partial restoration of sensitivity to gefitinib. The underlying mechanism appears to involve the dissociation of the E-cadherin/β-catenin complex by DDX17, which facilitates the nuclear translocation of β-catenin and enhances the transcription of its target genes. This pathway highlights the role of DDX17 in promoting gefitinib resistance in NSCLC through critical protein interactions and activation of β-catenin signalling pathways (45). Overall, these findings suggest that similar mechanisms might influence TKI resistance mediated by ZNF529 in HCC, potentially leading to adverse clinical outcomes for affected patients.
In the pursuit of effective treatments for HCC that also counter TKI resistance, comprehensive drug screening was performed using the DGB database, complemented by molecular docking. The investigation revealed that scriptaid, trichostatin A and vorinostat might be potent targeted therapeutic agents. Research by Liu et al. demonstrated that scriptaid, a histone deacetylase inhibitor, reduces HCC cell proliferation and induces a dose-dependent G2/M phase arrest in the cell cycle, additionally promoting cell death through the transcriptional activation of p21 and a subsequent increase in H3Ac levels (46). Furthermore, Sanaei et al. reported that trichostatin A triggers apoptosis and suppresses growth in HCC cells (HCCLM3, MHCC97H, MHCC97L) through both mitochondrial and cytoplasmic apoptotic pathways in vitro (47). Likewise, studies by Li et al. indicated that vorinostat enhances HCC cell death by promoting FAM134B-mediated endoplasmic reticulum autophagy, which synergistically activates the mitochondrial apoptotic pathway (48). Collectively, these findings provide foundational insights into the potential role of these drugs in HCC treatment.
Nevertheless, the study presented several limitations. Primarily, the disparity in the sample sizes between the general HCC samples and the TKI-resistant HCC samples was notable, suggesting that subsequent studies should aim to increase the number of TKI-resistant samples and incorporate detailed clinical data. Additionally, the experimental approaches employed were insufficient to elucidate the role of ZNF529 in HCC, pointing to the need for further in vivo and in vitro research to explore the regulatory mechanisms of ZNF529 within this cancer type. Lastly, to confirm the efficacy of the drugs identified as potential treatments for HCC, additional in vitro studies and medical research trials are essential. Our study reveals significant differential expression of ZNF529 between cancerous and non-cancerous liver tissues, shedding light on its clinical relevance in HCC. The potential of this research lies in its contribution to understanding the molecular mechanisms underlying TKI resistance in HCC, a major challenge in current treatment strategies. However, there remain several knowledge gaps, particularly in the precise regulatory pathways of ZNF529 and its broader role in liver cancer progression. These gaps can be addressed through further in-depth molecular studies and functional experiments, focusing on ZNF529’s interaction with other key genes and its impact on HCC pathogenesis. Looking forward, we anticipate that ZNF529 could become a valuable target for therapeutic interventions in HCC. In the next five years, as we deepen our understanding of its mechanisms and optimize drug-targeting strategies, we expect significant progress in overcoming TKI resistance, potentially improving treatment outcomes for patients with HCC.
Conclusions
This study represents an initial exploration of the clinical relevance of ZNF529 in HCC. Analysis revealed that ZNF529 expression was significantly elevated in HCC patients compared to those without tumours. In addition, ZNF529 has been identified as a potential independent prognostic factor for HCC. Further expansion of the TKI-resistant sample size is required for additional validation of the role of ZNF529 in TKI resistance. ZNF529 may also play a role in mediating TKI resistance, potentially through pathways related to RNA metabolism or cellular transport processes. Moreover, the compounds scriptaid, trichostatin A and vorinostat have been proposed as potential targeted therapies for HCC.
Acknowledgments
We would like to thank “Guangxi Zhuang Autonomous Region Clinical Medicine Research Center for Molecular Pathology and Intelligent Pathology Precision Diagnosis” for providing technical support.
Footnote
Reporting Checklist: The authors have completed the MDAR reporting checklist. Available at https://jgo.amegroups.com/article/view/10.21037/jgo-2025-297/rc
Data Sharing Statement: Available at https://jgo.amegroups.com/article/view/10.21037/jgo-2025-297/dss
Peer Review File: Available at https://jgo.amegroups.com/article/view/10.21037/jgo-2025-297/prf
Funding:
Conflicts of Interest: All authors have completed the ICMJE uniform disclosure form (available at https://jgo.amegroups.com/article/view/10.21037/jgo-2025-297/coif). The authors have no conflicts of interest to declare.
Ethical Statement: The authors are accountable for all aspects of the work in ensuring that questions related to the accuracy or integrity of any part of the work are appropriately investigated and resolved. Informed consent was obtained from all patients. Ethical approval was granted by Yulin Red Cross Hospital (No. 2024(8)). This study was conducted in accordance with the Declaration of Helsinki and its subsequent amendments.
Open Access Statement: This is an Open Access article distributed in accordance with the Creative Commons Attribution-NonCommercial-NoDerivs 4.0 International License (CC BY-NC-ND 4.0), which permits the non-commercial replication and distribution of the article with the strict proviso that no changes or edits are made and the original work is properly cited (including links to both the formal publication through the relevant DOI and the license). See: https://creativecommons.org/licenses/by-nc-nd/4.0/.
References
- Llovet JM, Kelley RK, Villanueva A, et al. Hepatocellular carcinoma. Nat Rev Dis Primers 2021;7:6. [Crossref] [PubMed]
- Villanueva A. Hepatocellular Carcinoma. N Engl J Med 2019;380:1450-62. [Crossref] [PubMed]
- Sung H, Ferlay J, Siegel RL, et al. Global Cancer Statistics 2020: GLOBOCAN Estimates of Incidence and Mortality Worldwide for 36 Cancers in 185 Countries. CA Cancer J Clin 2021;71:209-49. [Crossref] [PubMed]
- Ganesan P, Kulik LM. Hepatocellular Carcinoma: New Developments. Clin Liver Dis 2023;27:85-102. [Crossref] [PubMed]
- Rizzo A, Ricci AD, Brandi G. Trans-Arterial Chemoembolization Plus Systemic Treatments for Hepatocellular Carcinoma: An Update. J Pers Med 2022;12:1788. [Crossref] [PubMed]
- Wen N, Cai Y, Li F, et al. The clinical management of hepatocellular carcinoma worldwide: A concise review and comparison of current guidelines: 2022 update. Biosci Trends 2022;16:20-30. [Crossref] [PubMed]
- Chakraborty E, Sarkar D. Emerging Therapies for Hepatocellular Carcinoma (HCC). Cancers (Basel) 2022;14:2798. [Crossref] [PubMed]
- Rizzo A, Ricci AD. Challenges and Future Trends of Hepatocellular Carcinoma Immunotherapy. Int J Mol Sci 2022;23:11363. [Crossref] [PubMed]
- Rizzo A, Ricci AD, Brandi G. Atezolizumab in advanced hepatocellular carcinoma: good things come to those who wait. Immunotherapy 2021;13:637-44. [Crossref] [PubMed]
- Atwa SM, Odenthal M, El Tayebi HM. Genetic Heterogeneity, Therapeutic Hurdle Confronting Sorafenib and Immune Checkpoint Inhibitors in Hepatocellular Carcinoma. Cancers (Basel) 2021;13:4343. [Crossref] [PubMed]
- Xia S, Pan Y, Liang Y, et al. The microenvironmental and metabolic aspects of sorafenib resistance in hepatocellular carcinoma. EBioMedicine 2020;51:102610. [Crossref] [PubMed]
- Bruix J, Qin S, Merle P, et al. Regorafenib for patients with hepatocellular carcinoma who progressed on sorafenib treatment (RESORCE): a randomised, double-blind, placebo-controlled, phase 3 trial. Lancet 2017;389:56-66. [Crossref] [PubMed]
- Kelley RK, Verslype C, Cohn AL, et al. Cabozantinib in hepatocellular carcinoma: results of a phase 2 placebo-controlled randomized discontinuation study. Ann Oncol 2017;28:528-34. [Crossref] [PubMed]
- Kudo M, Finn RS, Qin S, et al. Lenvatinib versus sorafenib in first-line treatment of patients with unresectable hepatocellular carcinoma: a randomised phase 3 non-inferiority trial. Lancet 2018;391:1163-73. [Crossref] [PubMed]
- Wu Y, Zhang Y, Qin X, et al. PI3K/AKT/mTOR pathway-related long non-coding RNAs: roles and mechanisms in hepatocellular carcinoma. Pharmacol Res 2020;160:105195. [Crossref] [PubMed]
- Song Z, Liu T, Chen J, et al. HIF-1α-induced RIT1 promotes liver cancer growth and metastasis and its deficiency increases sensitivity to sorafenib. Cancer Lett 2019;460:96-107. [Crossref] [PubMed]
- Li JF, Zheng XR, Zhang HY, et al. Effects of Sensitized Sorafenib with a Paeoniflorin and Geniposide Mixture on Liver Cancer via the NF-κB-HIF-2α-SerpinB3 Pathway. Evid Based Complement Alternat Med 2022;2022:1911311. [Crossref] [PubMed]
- Siddharth S, Kuppusamy P, Wu Q, et al. Metformin Enhances the Anti-Cancer Efficacy of Sorafenib via Suppressing MAPK/ERK/Stat3 Axis in Hepatocellular Carcinoma. Int J Mol Sci 2022;23:8083. [Crossref] [PubMed]
- Luo J, Li L, Zhu Z, et al. Fucoidan inhibits EGFR redistribution and potentiates sorafenib to overcome sorafenib-resistant hepatocellular carcinoma. Biomed Pharmacother 2022;154:113602. [Crossref] [PubMed]
- Sahin TK, Ayasun R, Rizzo A, et al. Prognostic Value of Neutrophil-to-Eosinophil Ratio (NER) in Cancer: A Systematic Review and Meta-Analysis. Cancers (Basel) 2024;16:3689. [Crossref] [PubMed]
- Bas O, Sahin TK, Karahan L, et al. Prognostic significance of the cachexia index (CXI) in patients with cancer: A systematic review and meta-analysis. Clin Nutr ESPEN 2025;68:240-7. [Crossref] [PubMed]
- Guo HJ, Wang LJ, Wang C, et al. Identification of an Apis cerana zinc finger protein 41 gene and its involvement in the oxidative stress response. Arch Insect Biochem Physiol 2021;108:e21830. [Crossref] [PubMed]
- He L, Fan X, Li Y, et al. Overexpression of zinc finger protein 384 (ZNF 384), a poor prognostic predictor, promotes cell growth by upregulating the expression of Cyclin D1 in Hepatocellular carcinoma. Cell Death Dis 2019;10:444. [Crossref] [PubMed]
- Barzegar S, Pirouzpanah S. Zinc finger proteins and ATP-binding cassette transporter-dependent multidrug resistance. Eur J Clin Invest 2024;54:e14120. [Crossref] [PubMed]
- Ghandi M, Huang FW, Jané-Valbuena J, et al. Next-generation characterization of the Cancer Cell Line Encyclopedia. Nature 2019;569:503-8. [Crossref] [PubMed]
- Zhang W, Li GS, Gan XY, et al. MMP12 serves as an immune cell-related marker of disease status and prognosis in lung squamous cell carcinoma. PeerJ 2023;11:e15598. [Crossref] [PubMed]
- Li SH, Zhai GQ, He RQ, et al. Down-regulation and clinical significance of Sorbin and SH3 domain-containing protein 1 in bladder cancer tissues. IET Syst Biol 2023;17:70-82. [Crossref] [PubMed]
- Liu Z, Gu S, Lu T, et al. IFI6 depletion inhibits esophageal squamous cell carcinoma progression through reactive oxygen species accumulation via mitochondrial dysfunction and endoplasmic reticulum stress. J Exp Clin Cancer Res 2020;39:144. [Crossref] [PubMed]
- Nishiguchi H, Omura T, Sato A, et al. Luteolin Protects Against 6-Hydoroxydopamine-Induced Cell Death via an Upregulation of HRD1 and SEL1L. Neurochem Res 2024;49:117-28. [Crossref] [PubMed]
- Wang Z, He E, Sani K, et al. Drug Gene Budger (DGB): an application for ranking drugs to modulate a specific gene based on transcriptomic signatures. Bioinformatics 2019;35:1247-8. [Crossref] [PubMed]
- Zhu YS, Yan H, Mo TT, et al. Identification of Diagnostic Markers in Synovial Tissue of Osteoarthritis by Weighted Gene Coexpression Network. Biochem Genet 2023;61:2056-75. [Crossref] [PubMed]
- Nielsen JB, Rom O, Surakka I, et al. Loss-of-function genomic variants highlight potential therapeutic targets for cardiovascular disease. Nat Commun 2020;11:6417. [Crossref] [PubMed]
- Yeo BSY, Song HJJMD, Toh EMS, et al. Association of Hearing Aids and Cochlear Implants With Cognitive Decline and Dementia: A Systematic Review and Meta-analysis. JAMA Neurol 2023;80:134-41. [Crossref] [PubMed]
- Wang YJ, Li X, Ng CH, et al. Risk factors for non-suicidal self-injury (NSSI) in adolescents: A meta-analysis. EClinicalMedicine 2022;46:101350. [Crossref] [PubMed]
- Lee YH, Lin CH, Wu WR, et al. Virtual reality exercise programs ameliorate frailty and fall risks in older adults: A meta-analysis. J Am Geriatr Soc 2023;71:2946-55. [Crossref] [PubMed]
- Duval S, Tweedie R. Trim and fill: A simple funnel-plot-based method of testing and adjusting for publication bias in meta-analysis. Biometrics 2000;56:455-63. [Crossref] [PubMed]
- Li L, Wu C, Gan Y, et al. Insomnia and the risk of depression: a meta-analysis of prospective cohort studies. BMC Psychiatry 2016;16:375. [Crossref] [PubMed]
- Shi L, Lin L. The trim-and-fill method for publication bias: practical guidelines and recommendations based on a large database of meta-analyses. Medicine (Baltimore) 2019;98:e15987. [Crossref] [PubMed]
- Zhang J, Zheng X, Zhao Z. A systematic review and meta-analysis on the efficacy outcomes of selective serotonin reuptake inhibitors in depression in Alzheimer's disease. BMC Neurol 2023;23:210. [Crossref] [PubMed]
- Weinhandl ED, Duval S. Generalization of trim and fill for application in meta-regression. Res Synth Methods 2012;3:51-67. [Crossref] [PubMed]
- Jackson JL, Balk EM, Hyun N, et al. Approaches to Assessing and Adjusting for Selective Outcome Reporting in Meta-analysis. J Gen Intern Med 2022;37:1247-53. [Crossref] [PubMed]
- Wei X. E M, Yu S. A meta-analysis of passive smoking and risk of developing Type 2 Diabetes Mellitus. Diabetes Res Clin Pract 2015;107:9-14. [Crossref] [PubMed]
- Fustaino V, Papoff G, Ruberti F, et al. Co-Expression Network Analysis Unveiled lncRNA-mRNA Links Correlated to Epidermal Growth Factor Receptor-Tyrosine Kinase Inhibitor Resistance and/or Intermediate Epithelial-to-Mesenchymal Transition Phenotypes in a Human Non-Small Cell Lung Cancer Cellular Model System. Int J Mol Sci 2024;25:3863. [Crossref] [PubMed]
- Yuan J, Li B, Zhang N, et al. Clinical Implications of the BIM Deletion Polymorphism in Advanced Lung Adenocarcinoma Treated With Gefitinib. Clin Lung Cancer 2018;19:e431-8. [Crossref] [PubMed]
- Li K, Mo C, Gong D, et al. DDX17 nucleocytoplasmic shuttling promotes acquired gefitinib resistance in non-small cell lung cancer cells via activation of β-catenin. Cancer Lett 2017;400:194-202. [Crossref] [PubMed]
- Liu L, Sun X, Xie Y, et al. Anticancer effect of histone deacetylase inhibitor scriptaid as a single agent for hepatocellular carcinoma. Biosci Rep 2018;38:BSR20180360. [Crossref] [PubMed]
- Sanaei M, Kavoosi F. Effects of trichostatin A on the intrinsic and extrinsic apoptotic pathway, cell viability, and apoptosis induction in hepatocellular carcinoma cell lines. Gastroenterol Hepatol Bed Bench 2021;14:323-33.
- Li JY, Tian T, Han B, et al. Suberoylanilide hydroxamic acid upregulates reticulophagy receptor expression and promotes cell death in hepatocellular carcinoma cells. World J Gastroenterol 2023;29:5038-53. [Crossref] [PubMed]

