Safety and efficacy of liver-directed radiotherapy after chemoimmunotherapy for advanced cholangiocarcinoma: an early report from a large tertiary cancer center
Highlight box
Key findings
• The multimodal regimen of chemoimmunotherapy with radiotherapy (RT) for the treatment of cholangiocarcinoma (CCA) is safe with promising survival outcomes. Additionally, patients whose absolute lymphocyte count recovered after three months post-RT had better survival outcomes, suggesting that baseline immune function might be a useful tool to select individuals for RT.
What is known and what is new?
• The standard of care for advanced CCA has been chemotherapy and immunotherapy since 2022. Additionally, RT has been used effectively and safely in combination with immunotherapy in other settings. However, limited data exist about the combination of RT and chemoimmunotherapy for CCA.
• This study highlights the safety and efficacy of a multimodal regimen consisting of chemoimmunotherapy with RT. Additionally, baseline immune function was shown to possibly be an indicator of survival outcomes after RT.
What is the implication and what should change now?
• The results of our study may be used to inform decisions regarding treatment options for patients with locally advanced CCA and could possibly serve as a benchmark for ongoing and future clinical research.
Introduction
Cholangiocarcinoma (CCA) is a highly aggressive biliary tract cancer and is the second most common liver malignancy with an increasing rate of incidence in recent years (1). It is associated with a poor prognosis and is often unresectable (2). Since 2022, the standard of care for advanced CCA has been a combination of immunotherapy and chemotherapy (3). The TOPAZ-1 trial showed that durvalumab with gemcitabine and cisplatin was associated with an increase in overall survival (OS) for patients with advanced biliary tract cancer (4,5). Similarly, the KEYNOTE-966 demonstrated an improvement in survival with the addition of pembrolizumab to standard of care gemcitabine and cisplatin for the treatment of biliary tract cancers (6).
Before the introduction of immunotherapy, previous studies showed the safety and efficacy of radiotherapy (RT) for localized unresectable CCA (7). Higher doses have been shown to improve local control and OS for patients with inoperable CCA (8). Additionally, higher ablative RT doses with a biologically effective dose ≥80.5 Gy are associated with longer survival than conventional RT of lower doses (8,9). Finally, it has also been suggested that postoperative RT therapy with concurrent chemotherapy after the resection of CCA benefits patients (10).
In this evolving paradigm of multimodal systemic therapy, there could be a concern regarding the toxicities involved with the addition of RT in combination with immunotherapy. RT has been used effectively and safely in combination with immunotherapy in other settings, but limited data exist for CCA (11,12). The purpose of this investigation is to report our early experience treating patients with CCA using multimodality therapy, including RT and chemoimmunotherapy. These results could provide preliminary evidence to encourage optimal strategies to incorporate RT safely into modern multimodal therapeutic strategies for CCA. We present this article in accordance with the STROBE reporting checklist (available at https://jgo.amegroups.com/article/view/10.21037/jgo-2025-300/rc).
Methods
Patient selection and evaluation
We retrospectively reviewed the electronic medical records of patients who received immunotherapy, chemotherapy, and RT for the treatment of CCA from 2019 to 2023 at our institution (Table 1). For each patient, we tabulated demographic, disease, and treatment characteristics. Demographics include age, sex, and race. Disease characteristics include Eastern Cooperative Oncology Group performance status (ECOG) performance status, presence of portal vein thrombus, tumor size, blood counts [absolute lymphocyte count (ALC), absolute neutrophil count (ANC)] and liver function tests [alanine aminotransferase (ALT), aspartate transaminase (AST), alkaline phosphate, direct bilirubin, and total bilirubin]. Laboratory values were collected at various timepoints, including the most immediate value prior to RT (e.g., baseline), immediately post-RT, one month post-RT, and three months post-RT. Treatment characteristics included RT dose and fractionation, and systemic therapy regimens including cytotoxic chemotherapy, targeted therapy, and immunotherapy. The study was conducted in accordance with the Declaration of Helsinki and its subsequent amendments. The study was approved by the institutional review board of MD Anderson Cancer Center, Houston, Texas (No. PA 14-0646). Informed consent was taken from all the patients.
Table 1
| Characteristic | Overall count | Intrahepatic count | Extrahepatic count | P |
|---|---|---|---|---|
| Age (years) | 64.6 [60.7–72.3] | 64.6 [58.5–70.1] | 69.9 [62.9–77.5] | 0.30 |
| Sex | 0.21 | |||
| Male | 20 (71.4) | 12 (63.2) | 8 (88.9) | |
| Female | 8 (28.6) | 7 (36.8) | 1 (11.1) | |
| Race | 0.19 | |||
| Asian | 4 (14.3) | 3 (15.8) | 1 (11.1) | |
| Black | 4 (14.3) | 1 (5.3) | 3 (33.3) | |
| White | 20 (71.4) | 15 (78.9) | 5 (55.6) | |
| ECOG performance status | 0.28 | |||
| 0 | 12 (42.9) | 10 (52.6) | 2 (22.2) | |
| 1 | 15 (53.6) | 8 (42.1) | 7 (77.8) | |
| 2 | 1 (3.6) | 1 (5.3) | 0 (0.0) | |
| Portal vein thrombosis | 0.70 | |||
| Absent | 20 (71.4) | 14 (73.7) | 6 (66.7) | |
| Present | 8 (28.6) | 5 (26.3) | 3 (33.3) | |
| Tumor size (cm) | 6.6 [3.6–10.6] | 9.0 [5.9–11] | 3.4 [2.8–4.6] | 0.004 |
| Baseline laboratory values | ||||
| ALC, K/μL | 1.2 [0.9–1.6] | 1.3 [0.9–1.6] | 1.0 [0.9–1.3] | 0.29 |
| ANC, K/μL | 3.6 [3–5.5] | 3.3 [2.8–5.2] | 4.3 [3.3–5.5] | 0.56 |
| ALT, U/L | 25 [18–41] | 21 [17–33] | 44 [36–50] | 0.03 |
| AST, U/L | 31 [25–48] | 30 [24–48] | 31 [25–42] | 0.94 |
| Direct bilirubin, mg/dL | 0.2 [0.2–0.4] | 0.2 [0.2–0.3] | 0.2 [0.2–0.4] | 0.52 |
| Total bilirubin, mg/dL | 0.5 [0.3–0.7] | 0.4 [0.3–0.7] | 0.5 [0.5–0.7] | 0.26 |
| Total radiation dose (Gy) | 60 [57–68] | 60 [57–68] | 60 [58–60] | 0.07 |
| Number of fractions | 15 [14–15] | 15 [14–15] | 15 [15–15] | 0.25 |
| First systemic therapy | – | |||
| Capecitabine | 1 (3.6) | 0 (0.0) | 1 (11.1) | |
| Gemcitabine | 1 (3.6) | 0 (0.0) | 1 (11.1) | |
| Gemcitabine/cisplatin | 6 (21.4) | 4 (21.1) | 2 (22.2) | |
| Gemcitabine/cisplatin/abraxane | 7 (25.0) | 6 (31.6) | 1 (11.1) | |
| Gemcitabine/cisplatin/durvalumab | 10 (35.7) | 6 (31.6) | 4 (44.4) | |
| Gemcitabine/cisplatin/abraxane/durvalumab | 1 (3.6) | 1 (5.3) | 0 (0.0) | |
| Gemcitabine/carboplatin/durvalumab | 1 (3.6) | 1 (5.3) | 0 (0.0) | |
| Gemcitabine/oxaliplatin/durvalumab | 1 (3.6) | 1 (5.3) | 0 (0.0) | |
| Subsequent immunotherapy regimen† | – | |||
| 5-florouracil/onivyde/durvalumab | 2 (7.1) | 2 (10.5) | 0 (0.0) | |
| Trastuzumab/pertuzumab/gemcitabine/cisplatin | 1 (3.6) | 1 (5.3) | 0 (0.0) | |
| Trastuzumab/neratinib | 1 (3.6) | 1 (5.3) | 0 (0.0) | |
| Gemcitabine/cisplatin/durvalumab | 7 (25.0) | 4 (21.1) | 3 (33.3) | |
| Lenvatinib/pembrolizumab | 2 (7.1) | 2 (10.5) | 0 (0.0) | |
| Gemcitabine/durvalumab | 6 (21.4) | 5 (26.3) | 1 (11.1) | |
| Gemcitabine/carboplatin/durvalumab | 1 (3.6) | 1 (5.3) | 0 (0.0) | |
| Gemcitabine/capecitabine/durvalumab | 1 (3.6) | 1 (5.3) | 0 (0.0) | |
| Durvalumab/oxaliplatin/leucovorin/5-florouracil | 1 (3.6) | 0 (0.0) | 1 (11.1) | |
| Ceralasertib/trastuzumab | 1 (3.6) | 0 (0.0) | 1 (11.1) | |
| Oxaliplatin/fluorouracil/durvalumab | 1 (3.6) | 0 (0.0) | 1 (11.1) | |
| Durvalumab/pertuzumab/trastuzumab | 1 (3.6) | 0 (0.0) | 1 (11.1) | |
| Pertuzumab/trastuzumab | 1 (3.6) | 0 (0.0) | 1 (11.1) | |
| Gemcitabine/oxaliplatin/durvalumab | 1 (3.6) | 1 (5.3) | 0 (0.0) | |
| RT with relation to immunotherapy | 0.16 | |||
| RT before immunotherapy | 8 (28.6) | 4 (21.1) | 4 (44.4) | |
| RT concurrent with immunotherapy | 19 (67.9) | 14 (73.7) | 5 (55.6) | |
| RT after immunotherapy | 1 (3.65) | 1 (5.3) | 0 (0.0) |
Data are presented as number (%) or median [IQR]. †, patients who received multiple courses were counted independently. ALC, absolute lymphocyte count; ALT, alanine aminotransferase; ANC, absolute neutrophil count; AST, aspartate transferase; ECOG, Eastern Cooperative Oncology Group performance status; IQR, interquartile range (1st–3rd quartile); RT, radiotherapy.
Treatment details
Multidisciplinary input from medical, surgical, and radiation oncologists was used to develop individual treatment plans. Additionally, follow-up of patients was also conducted by medical, surgical, and radiation oncologists. Patients were evaluated with history and physical examination, laboratory studies, and imaging, which included computed tomography of the chest and pelvis with or without magnetic resonance imaging of the abdomen. RT was offered at the discretion of the treating radiation oncologist following consensus agreement from the multidisciplinary tumor board. In general, RT was offered to patients with non-operative lesions with the goal of locally controlling tumors that threaten or may eventually compromise vasculature, liver parenchyma, or the biliary system, thus increasing risk of disease-related liver failure. For all patients, chemoimmunotherapy was offered sequentially and/or concurrently with RT. Additionally, the median duration of the immunotherapy regimen was 6.2 months. RT was prescribed with the goal of reaching high biologically effective dose [biologic equivalent dose (BED) >80.5 Gy] that has been shown to be associated with improved oncologic and survival outcomes (8,9). The median BED of RT was 84.0 [interquartile range (IQR) 81.4–98.0] Gy. Specific details of our institutional approach to RT planning and delivery for CCA have been described previously (8).
Outcomes
The primary goal of this investigation was to measure safety of RT after chemoimmunotherapy in terms of acute and long-term toxicities. We collected information about the chronicity, type, and grade of toxicity. Acute RT toxicity was defined as any RT related toxicity that occurred during or immediately after the course of RT. Late toxicity was defined as RT related toxicity that occurred later than one month after the completion of RT. Additionally, we attempted to attribute toxicities to respective treatments using consensus attribution from two authors (Abdulmoiz Asif, Michael K. Rooney) with review from an experienced radiation oncologist (E.J.K.). The secondary outcomes were survival outcomes, including progression-free survival (PFS) and OS. Progression was defined as any disease growth per RECIST criteria. Local recurrence was defined as progressive lesions within the delivered RT field as assessed by one study author (M.K.R.) and reviewed by E.J.K. Survival outcomes were calculated from completion of RT.
Statistical analysis
Descriptive statistics were used to describe the study population and incidence of toxicity. Univariate Cox proportional hazards models were used to identify factors associated with survival. Given limited sample size, creation of a multivariable regression model was not attempted. OS outcomes were further visualized using the Kaplan-Meier method with stratification by prognostic features identified on Cox regression. Univariate comparisons of survival functions were compared using the log-rank test. Cumulative incidence functions were used to estimate the incidence of local failure following RT, with death considered a competing event for local recurrence. Statistical significance was defined at P<0.05. All analyses were conducted using R 4.3.0 (R Foundation for Statistical Computing, Vienna, Austria).
Results
Twenty-eight patients met the inclusion criteria. Nineteen (68%) patients were diagnosed with intrahepatic CCA, and 9 (32%) patients were diagnosed with extrahepatic CCA. Out of the patients diagnosed with extrahepatic CCA, 6 (66.7%) were hilar and 3 (33.3%) were distal. Treatment characteristics and demographics are described in Table 1. The median age was 64.6 [IQR 60.7–72.3] years old; most patients were male (71%) and Caucasian (71%). The median tumor size was 6.6 [IQR 3.6–10.6] cm. Additionally, the median number of cycles of durvalumab and pembrolizumab that our patient population received was 5.5 [IQR 3–9].
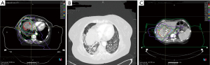
A summary of the treatment toxicities is presented in Table 2. Most patients had at least grade one acute RT toxicities (89.3%), and five had grade two acute RT toxicities (17.9%). Seven (25%) of the patients who had acute toxicities were diagnosed with extrahepatic CCA. Two patients experienced long-term RT toxicities. One patient with extrahepatic CCA had grade two hepatic impairment (3.6%) possibly attributable to RT and another patient with intrahepatic CCA had grade three pneumonitis (3.6%) likely attributable to RT. The RT plans for these two patients were reviewed to attribute them to RT (Figure 1). For the patient with pneumonitis, mean dose to the full right and left lungs was 19.8 and 9.1 Gy, respectively (Table 3). Furthermore, the full right lung V20 was 39% and full left lung V20 was 19% (Table 3). For the individual who developed hepatic impairment, the mean normal (liver-GTV) dose was 23.74 Gy and the patient received 15 fractions of RT (Table 3). One patient experienced late gastric pain; however, on endoscopic evaluation, no ulcers were identified. Further, on review of the dose-volume histogram, there was no significant dose to stomach, suggesting RT was not responsible for this side effect. Overall, the main toxicities related to systemic therapy regimens were fatigue (50%), nausea (42.9%), and thrombocytopenia (35.7%) (Table 2). Additionally, other immune-related toxicities included dermatitis (3.6%), colitis (10.7%), and pneumonitis (7.1%) (Table 2).
Table 2
| Toxicity | Overall incidence | |||
|---|---|---|---|---|
| Grade 1 | Grade 2 | Grade 3 | Grade 4 | |
| Overall | 25 (89.3) | 5 (17.9) | ||
| Extrahepatic | 5 (17.9) | 2 (7.1) | 0 | 0 |
| Intrahepatic | 14 (50.0) | 3 (10.7) | 0 | 0 |
| Acute RT toxicity type | ||||
| Fatigue | 21 (75.0) | 2 (7.1) | 0 (0.0) | 0 (0.0) |
| Nausea | 13 (46.4) | 1 (3.6) | 0 (0.0) | 0 (0.0) |
| Diarrhea | 2 (7.1) | 0 (0.0) | 0 (0.0) | 0 (0.0) |
| Constipation | 1 (3.6) | 1 (3.6) | 0 (0.0) | 0 (0.0) |
| Pain | 7 (25.0) | 1 (3.6) | 0 (0.0) | 0 (0.0) |
| Dermatitis | 1 (3.6) | 0 (0.0) | 0 (0.0) | 0 (0.0) |
| Thrombocytopenia | 1 (3.6) | 0 (0.0) | 0 (0.0) | 0 (0.0) |
| Late RT toxicities | ||||
| Hepatic impairment† | – | 1 (3.6) | – | – |
| Pneumonitis‡ | – | – | 1 (3.6) | – |
| Systemic therapy toxicity type | ||||
| Dermatitis/rash | 1 (3.6) | |||
| Peripheral neuropathy | 4 (14.3) | |||
| Fatigue | 14 (50.0) | |||
| Nausea | 12 (42.9) | |||
| Colitis/diarrhea | 3 (10.7) | |||
| Cytopenia | 1 (3.6) | |||
| Thrombocytopenia | 10 (35.7) | |||
| Neutropenia | 3 (10.7) | |||
| Anemia | 6 (21.4) | |||
| Transaminitis/hyperbilirubinemia | 1 (3.6) | |||
| Pneumonitis | 2 (7.1) | |||
Data are presented as number (%). †, possibly attributable to radiotherapy; ‡, likely attributable to radiotherapy. RT, radiotherapy.
Table 3
| Characterization | n |
|---|---|
| Hepatic impairment | |
| Age (years) | 61 |
| Primary radiation dose (Gy) | 60 |
| Radiation fractionation | 15 |
| Mean radiation dose to total liver (Gy) | 29.93 |
| D0.03cc to total liver (Gy) | 65.68 |
| Mean radiation dose to normal liver (Gy) | 23.74 |
| D0.03cc to normal liver (Gy) | 62.29 |
| Tumor location | Extrahepatic |
| Pneumonitis | |
| Age (years) | 63 |
| Primary radiation dose (Gy) | 67.5 |
| Radiation fractionation | 15 |
| Mean radiation dose to full left lung (Gy) | 9.1 |
| Mean radiation dose to full right lung (Gy) | 19.8 |
| Full right lung V20 | 39% |
| Full left lung V20 | 19% |
| Tumor location | Intrahepatic |
Gy, Gray; RT, radiotherapy.
The median OS was 17.4 months. Table 4 shows all evaluated univariate predictors of survival using Cox proportional hazards regression: worse ECOG performance status {P=0.09, hazard ratio (HR) 2.5 [95% confidence interval (CI): 0.8–7.5]}, presence of portal vein thrombus [P=0.04, HR 3.3 (95% CI: 1.1–10.4)], evidence of liver dysfunction on laboratory values {e.g., increased AST [P=0.005, HR 1.05 (95% CI: 1.02–1.1)], direct bilirubin [P<0.001, HR 120 (95% CI: 9.8–1,477)], and total bilirubin [P≤0.001, HR 22.6 (95% CI: 4.8–106.8)]} associated with worse OS (Table 4). These results are visualized using the Kaplan-Meier method in Figure 2, with displayed P values reflecting comparison of survival curves with the log-rank method. Considering death as a competing risk for local recurrence, the cumulative incidence of local failure for our patient population was 11% (95% CI: 2.7–26%) at six months, 24% (95% CI: 9.3–43%) at 12 months, and 30% (95% CI: 12–50%) at 24 months (Figure 3A). With stratification by tumor location, the incidence of local failure, considering death as a competing event, was 11% (95% CI: 0.45–41%) at six months, 46% (95% CI: 4.8–82%) at 12 months, and 46% (95% CI: 4.8–82%) at 24 months for patients with extrahepatic CCA; this same data point was 11% (95% CI: 1.7–30%), 17% (95% CI: 3.9–38%), and 25% (95% CI: 6.7–49%) for patients with intrahepatic CCA (HR 0.54, P=0.40) (Figure 3B). The OS stratified by tumor location was not statistically different (P=0.69, Figure 2).
Table 4
| Feature | HR (95% CI) | P |
|---|---|---|
| Location | 0.69 | |
| Extrahepatic | Reference | |
| Intrahepatic | 0.8 (0.27–2.4) | |
| Tumor size | 1.2 (0.99–1.4) | 0.07 |
| Portal vein thrombus | 0.04 | |
| No | Reference | |
| Yes | 3.3 (1.1–10.4) | |
| Sex | 0.71 | |
| Female | Reference | |
| Male | 0.8 (0.25–2.6) | |
| Race | ||
| Asian | Reference | |
| Black/African American | 4.7 (0.49–46.2) | 0.18 |
| White | 2.4 (0.31–19) | 0.40 |
| ECOG | 2.5 (0.8–7.5) | 0.09 |
| Age | 1.0 (0.98–1.1) | 0.31 |
| Pre-RT labs | ||
| ALC | 0.35 (0.1–1.2) | 0.10 |
| ALT | 1.0 (0.98–1.1) | 0.31 |
| AST | 1.05 (1.02–1.1) | 0.005 |
| Direct bilirubin | 120.4 (9.8–1,477) | <0.001 |
| Total bilirubin | 22.6 (4.8–106.8) | <0.001 |
ALC, absolute lymphocyte count; ALT, alanine aminotransferase; AST, aspartate transferase; CI, confidence interval; ECOG, Eastern Cooperative Oncology Group performance status; HR, hazard ratio; OS, overall survival; RT, radiotherapy.
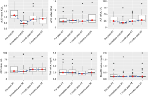
The kinetics of laboratory value changes after RT are shown in Figure 4. ALC tended to fall after RT but typically recovered between one month and three months post-RT. AST and ALT tended to decrease slightly after completion of RT but rose slightly thereafter over the course of one to three months. Overall, bilirubin levels, despite often being low at baseline, tended to decrease over time following completion of RT. In an exploratory analysis investigating associations between laboratory value kinetics and disease outcomes, we observed an association between larger recovery of ALC after RT and improved OS (P=0.02) with an HR 0.11 (95% CI: 0.021–0.56) (Figure 5).
Discussion
In this single institutional study of patients receiving RT and chemoimmunotherapy for the treatment of CCA, we found that this multimodal therapy had an acceptable toxicity profile with encouraging early survival outcomes. The overall rate of grade three RT toxicity was 3.6%, with no grade three acute RT toxicities and one likely grade three late RT toxicity (pneumonitis). The median OS was 17.4 months following the completion of RT. These results may be used to guide multidisciplinary treatment recommendations for patients with advanced CCA in the era of modern systemic agents, including immunotherapy.
Most (89%) patients did experience some acute low-grade RT toxicities, although significant toxicities were rare, with no grade three events. However, late RT toxicities were present, with one patient experiencing grade two hepatic impairment and another patient experiencing grade three pneumonitis. Importantly, this toxicity profile is similar to prior reports that established hypofractionated RT as a viable treatment prior to the routine incorporation of immunotherapy in the treatment landscape of CCA. For example, Smart et al. reported 95% incidence of any grade RT toxicity and one instance of radiation-induced liver disease (RILD) among patients receiving hypofractionated RT for intrahepatic CCA (13). Similarly, in the initial report by Tao et al., our group observed low rates of significant toxicity, including cholangitis (4%), and gastric bleeding (1%), with no observed RILD (8). Overall, therefore, the early outcomes reported here do not provide substantial evidence that risks of RT are significantly higher in the era of immunotherapy, although this observation warrants further confirmation, ideally in prospective multi-institutional cohorts.
Oncologic outcomes were similarly encouraging in this cohort, with a median OS of 17.4 months following completion of RT. Considering death as a competing risk, the cumulative incidence of local failure was estimated to be 24% (95% CI: 9.3–43%) at 12 months. These results are comparable to other studies of patients who received immunotherapy with RT. In a study of 39 patients receiving RT and immunotherapy by Chen et al., the median OS was 17.0 months (14). In another study of 36 patients receiving RT and immunotherapy by Zhu et al., the median OS was 22.0 months, and the progression-free survival rate was 44.4% (15).
The biologic interaction between RT and immunotherapy is complex and remains incompletely understood. Despite early enthusiasm regarding potential synergy via the abscopal effect, realization of this mechanism in clinical practice has been elusive. Nonetheless, there are several evolving clinical areas where efficacy of combined therapy with RT and immunotherapy has been demonstrated to provide survival benefits in randomized clinical trials, such as early-stage lung cancer (16) and soft tissue sarcoma (17). Nonetheless, there has been increasing consideration among experts that the immunosuppressive effect of RT via killing of immune cells may dampen response to immunotherapy. Interestingly, in this investigation, we observed an association between improved recovery of ALC and OS, which may in part be explained by this proposed phenomenon. Similar results have been reported in early studies of modern multimodality therapy for the treatment of hepatocellular carcinoma (18).
CCA represents a unique clinical challenge wherein combinatorial therapy may be particularly advantageous. Recent clinical trials, including TOPAZ-1 and KEYNOTE-966, have demonstrated substantial survival advantages with immunotherapy in the setting of advanced biliary cancer (4-6). These benefits may be derived in part from prevention or control of distant metastases. RT, however, may confer a survival advantage via improved local control of disease, which has been shown to be a major driver of mortality due to tumor-related liver failure (8,9,19). As such, optimal integration of local and systemic treatments represents a promising avenue to improve survival for patients with CCA. One key difference to note is that our study showed a higher tail-plateau survival rate as compared to the TOPAZ-1 trial. This could be attributed to the fact that our study is from a single institution and has a smaller sample size of patients. However, this finding also aligns with current literature, which found a similar OS of 21 months when using definitive liver RT for intrahepatic CCA with extrahepatic metastases (19).
Despite these potential synergistic or additive therapeutic benefits between RT and chemoimmunotherapy, thoughtful consideration of treatment-related toxicity is essential to optimize the therapeutic ratio. In this preliminary study, we encouragingly observed an acceptable rate of toxicity, suggesting that this treatment approach may be considered more frequently, ideally in the context of clinical trials.
This study has important limitations related to the experimental design. First, the sample size of 28 patients is relatively small, thus limiting power for robust statistical conclusions. Nonetheless, CCA is a rare disease, and, to our knowledge, this study is the largest to date focusing specifically on this population. Second, as with any retrospective study, unobserved confounding variables may affect any estimates of causal relationships. Last, there was some inconsistency in the observed intervals between lab values, thus limiting our ability to analyze time-dependent associations between laboratory values and other outcomes of interest in a more robust manner.
Conclusions
In conclusion, in this retrospective study of patients receiving chemoimmunotherapy and RT for the treatment of CCA, we found that this multimodal treatment regimen was safe with promising survival outcomes. We also found that patients whose ALC recovered after three months post-RT had better survival outcomes, suggesting that baseline immune function might be a useful tool to select individuals for RT. Overall, the results of our study may be used to inform decisions regarding treatment options for patients with locally advanced CCA and may serve as a benchmark for ongoing and future clinical research.
Acknowledgments
None.
Footnote
Reporting Checklist: The authors have completed the STROBE reporting checklist. Available at https://jgo.amegroups.com/article/view/10.21037/jgo-2025-300/rc
Data Sharing Statement: Available at https://jgo.amegroups.com/article/view/10.21037/jgo-2025-300/dss
Peer Review File: Available at https://jgo.amegroups.com/article/view/10.21037/jgo-2025-300/prf
Funding: This work was supported by
Conflicts of Interest: All authors have completed the ICMJE uniform disclosure form (available at https://jgo.amegroups.com/article/view/10.21037/jgo-2025-300/coif). M.J. serves as an unpaid editorial board member of Journal of Gastrointestinal Oncology from January 2025 to December 2026. V.B. reports a grant from ASCO. P.D. reports consulting fees from the American Society for Radiation Oncology; honoraria from Bayer and HMP education. G.L.S. reports NIH, NAPT, and Genentech research grants unrelated to this manuscript; consulting fees from Astra Zeneca unrelated to this manuscript. M.J. reports consulting fees from Merck, EMD Serono, Incyte, QED, Servier, Helsinn, Astra Zeneca, BMS, Transthera, Genentech, Novartis, Eli Lilly, and Taiho; honoraria from Incyte, QED, Servier, Helsinn, and Astra Zeneca; participation on advisory board of Incyte, QED, and Oncosil; leadership role in Cholangiocarcinoma Foundation. E.J.K. reports grants from Department of Defense (No. W81XWH-21-1-0709), National Institutes of Health (Nos. U54CA210181, U54CA143837, U01CA196403, U01CA200468, U01CA214263, P50CA221707, R01CA221971, R01CA218004, P30CA016672) and CPRIT (No. RP220119); sponsored research from Philips Healthcare, Artidis, Varian, Astra Zeneca, Nanobiotix; royalties from Taylor and Francis, LLC; licensing from Kallisio; consulting fees from RenovoRX, Astra Zeneca, and Kallisio; advisory role for Nanobiotix; honoraria for Philips Healthcare, and Aptitude Health; patent for the design and fabrication of 3D printed oral stents for head and neck cancer; leadership role in International Cholangiocarcinoma Research Network and Cholangiocarcinoma foundation; stock ownership in Quantum Aurea Capital. The other authors have no conflicts of interest to declare.
Ethical Statement: The authors are accountable for all aspects of the work in ensuring that questions related to the accuracy or integrity of any part of the work are appropriately investigated and resolved. The study was conducted in accordance with the Declaration of Helsinki and its subsequent amendments. The study was approved by the institutional review board of MD Anderson Cancer Center, Houston, Texas (No. PA 14-0646). Informed consent was taken from all the patients.
Open Access Statement: This is an Open Access article distributed in accordance with the Creative Commons Attribution-NonCommercial-NoDerivs 4.0 International License (CC BY-NC-ND 4.0), which permits the non-commercial replication and distribution of the article with the strict proviso that no changes or edits are made and the original work is properly cited (including links to both the formal publication through the relevant DOI and the license). See: https://creativecommons.org/licenses/by-nc-nd/4.0/.
References
- Bergquist A, von Seth E. Epidemiology of cholangiocarcinoma. Best Pract Res Clin Gastroenterol 2015;29:221-32. [Crossref] [PubMed]
- Banales JM, Marin JJG, Lamarca A, et al. Cholangiocarcinoma 2020: the next horizon in mechanisms and management. Nat Rev Gastroenterol Hepatol 2020;17:557-88. [Crossref] [PubMed]
- Kawamura E, Matsubara T, Kawada N. New Era of Immune-Based Therapy in Intrahepatic Cholangiocarcinoma. Cancers (Basel) 2023;15:3993. [Crossref] [PubMed]
- Burris HA 3rd, Okusaka T, Vogel A, et al. Durvalumab plus gemcitabine and cisplatin in advanced biliary tract cancer (TOPAZ-1): patient-reported outcomes from a randomised, double-blind, placebo-controlled, phase 3 trial. Lancet Oncol 2024;25:626-35. [Crossref] [PubMed]
- Oh DY, He AR, Bouattour M, et al. Durvalumab or placebo plus gemcitabine and cisplatin in participants with advanced biliary tract cancer (TOPAZ-1): updated overall survival from a randomised phase 3 study. Lancet Gastroenterol Hepatol 2024;9:694-704. [Crossref] [PubMed]
- Kelley RK, Ueno M, Yoo C, et al. Pembrolizumab in combination with gemcitabine and cisplatin compared with gemcitabine and cisplatin alone for patients with advanced biliary tract cancer (KEYNOTE-966): a randomised, double-blind, placebo-controlled, phase 3 trial. Lancet 2023;401:1853-65. [Crossref] [PubMed]
- Ilyas SI, Khan SA, Hallemeier CL, et al. Cholangiocarcinoma - evolving concepts and therapeutic strategies. Nat Rev Clin Oncol 2018;15:95-111. [Crossref] [PubMed]
- Tao R, Krishnan S, Bhosale PR, et al. Ablative Radiotherapy Doses Lead to a Substantial Prolongation of Survival in Patients With Inoperable Intrahepatic Cholangiocarcinoma: A Retrospective Dose Response Analysis. J Clin Oncol 2016;34:219-26. [Crossref] [PubMed]
- De B, Tran Cao HS, Vauthey JN, et al. Ablative liver radiotherapy for unresected intrahepatic cholangiocarcinoma: Patterns of care and survival in the United States. Cancer 2022;128:2529-39. [Crossref] [PubMed]
- Lin YK, Hsieh MC, Wang WW, et al. Outcomes of adjuvant treatments for resectable intrahepatic cholangiocarcinoma: Chemotherapy alone, sequential chemoradiotherapy, or concurrent chemoradiotherapy. Radiother Oncol 2018;128:575-83. [Crossref] [PubMed]
- Fiorica F, Belluomini L, Stefanelli A, et al. Immune Checkpoint Inhibitor Nivolumab and Radiotherapy in Pretreated Lung Cancer Patients: Efficacy and Safety of Combination. Am J Clin Oncol 2018;41:1101-5. [Crossref] [PubMed]
- Yang X, Ren H, Fu J. Combinations of radiotherapy with immunotherapy in cervical cancer. J Cancer 2022;13:1480-9. [Crossref] [PubMed]
- Smart AC, Goyal L, Horick N, et al. Hypofractionated Radiation Therapy for Unresectable/Locally Recurrent Intrahepatic Cholangiocarcinoma. Ann Surg Oncol 2020;27:1122-9. [Crossref] [PubMed]
- Chen Y, Wei M, Shen S, et al. The Combination of Radiation Therapy and Immunotherapy Is Effective and Well-Tolerated for Unresectable Biliary Tract Cancer. Int J Radiat Oncol Biol Phys 2022;113:816-24. [Crossref] [PubMed]
- Zhu M, Jin M, Zhao X, et al. Anti-PD-1 antibody in combination with radiotherapy as first-line therapy for unresectable intrahepatic cholangiocarcinoma. BMC Med 2024;22:165. [Crossref] [PubMed]
- Chang JY, Lin SH, Dong W, et al. Stereotactic ablative radiotherapy with or without immunotherapy for early-stage or isolated lung parenchymal recurrent node-negative non-small-cell lung cancer: an open-label, randomised, phase 2 trial. Lancet 2023;402:871-81.
- Mowery YM, Ballman KV, Hong AM, et al. SU2C-SARC032: A randomized trial of neoadjuvant RT and surgery with or without pembrolizumab for soft tissue sarcoma. J Clin Oncol 2024;42:11504.
- Manzar GS, De BS, Abana CO, et al. Outcomes and Toxicities of Modern Combined Modality Therapy with Atezolizumab Plus Bevacizumab and Radiation Therapy for Hepatocellular Carcinoma. Cancers (Basel) 2022;14:1901. [Crossref] [PubMed]
- De B, Upadhyay R, Liao K, et al. Definitive Liver Radiotherapy for Intrahepatic Cholangiocarcinoma with Extrahepatic Metastases. Liver Cancer 2023;12:198-208. [Crossref] [PubMed]

