Study on efficacy and safety of transcatheter arterial chemoembolization (TACE) combined with regorafenib and PD-1 antibody versus continued TACE combined with regorafenib in patients with hepatocellular carcinoma after failed second-line treatment with regorafenib
Introduction
Hepatocellular carcinoma (HCC) is one of the deadliest tumors in the world (1). Due to its biological characteristics, HCC is often found in the advanced stage (2), and treatment decisions are determined based on the stage and underlying liver dysfunction. Surgery, ablation, or transarterial chemoembolization (TACE) are usually the treatment options for early to middle stage hepatocellular carcinoma (3).
Multi-kinase inhibitors are the first-line treatment for advanced HCC, and sorafenib was the first oral tyrosine kinase inhibitor (TKI) to be globally recommended as first-line therapy (4). Regorafenib, a multi-kinase inhibitor targeting vascular endothelial growth factor receptors (VEGFRs) 1–3, KIT, RET, RAF-1, BRAF, platelet-derived growth factor receptor, fibroblast growth factor receptor, and colony-stimulating factor 1 receptor (CSF1R), demonstrated survival benefits in patients with HCC that had progressed despite treatment with sorafenib as a first-line therapy in the RESORCE trial (5). Real world data confirmed sorafenib sequential to regorafenib was safe and effective in the treatment of HCC (6,7). Current studies also confirm TACE combined with sorafenib or regorafenib improves the efficacy of therapy (8,9).
Immunotherapy with programmed cell death protein-1 (PD-1) antibody is a possible treatment for HCC despite the risks of immunotherapy. Sintilimab combined with a VEGF inhibitor showed a significant overall survival (OS) benefit versus sorafenib as a first-line treatment for Chinese HCC patients (10). Regorafenib is a VEGFR inhibitor, which could increase intratumoral CD8+ T-cell infiltration by normalizing the tumor vasculature and improving the efficacy of the anti-PD-1 antibody. Therefore, the combination of regorafenib and anti-PD-1 antibody could improve the level of efficacy (11).
Despite the rapid development of HCC drugs, sorafenib sequential regorafenib (combined with TACE) is still the most common first-line or second-line regimen for the treatment of advanced disease in China. However, there is no relevant research evaluating what treatment is best once second-line regorafenib fails to treat HCC. Therefore, the purpose of our research is to evaluate and compare the safety and efficacy of TACE combined with regorafenib and PD-1 antibody because of certain benefits of regorafenib and PD-1 antibody with continued TACE combined with regorafenib in patients with HCC after the failure of second-line treatment with regorafenib. We present the following article in accordance with the STROBE reporting checklist (available at https://jgo.amegroups.com/article/view/10.21037/jgo-22-626/rc).
Methods
Patient population
We enrolled patients with advanced HCC who were treated with sorafenib and sequential regorafenib. All patients were treated with TACE and found to have tumor progression in 2021. The study was conducted in accordance with the Declaration of Helsinki (as revised in 2013). The study was approved by Bioethics Committee of Beijing Friendship Hospital Affiliated to Capital Medical University (No. 2021-P2-219-01). During the admission period of surgery, the registered patients provide written informed consent, and their information is stored in the hospital database and used for research. During data collection, patient records were anonymous.
The diagnosis of HCC was based on the European Association for the Study of Liver and American Association for the study of Liver Disease guidelines (12). The inclusion criteria were: (I) age more than 18 years; (II) HCC receiving standard first-line sorafenib treatment and second-line regorafenib treatment (combined with TACE); (III) BCLC B or C; (IV) liver function A or B; (V) Eastern Cooperative Oncology Group (ECOG) score 0–1; (VI) At least one measurable lesion. The exclusion criteria were: (I) Distant metastasis; (II) liver function C; (III) any contraindication for therapy with TACE, regorafenib, or PD-1 antibody.
Treatment protocol
All patients were treated with TACE. All patients were treated with C-TACE. The treatment times of TACE were determined according to the changes of liver function and tumor volume.
Sorafenib (Bayer HealthCare AG, 200 mg/pill) was initially prescribed at 400–800 mg/day after one week after TACE, and with tumor progression, regorafenib replaced sorafenib. Regorafenib was administered orally within one week of TACE surgery at a dosage of 80–160 mg (Bayer HealthCare AG, 40 mg/pill) according to the patient’s tolerance, and during weeks 1–3 of each 4-week cycle. After tumor progression, patients were treated with TACE combined with regorafenib and PD-1 antibody (sintilimab), or with continued TACE combined with regorafenib according to the wishes of the patient. Sintilimab (Innovent Biologics, Suzhou, China) was prescribed at a fixed dose of 200 mg every 3 weeks, and adverse events (AEs) were managed by reducing the pre-specified dose and delaying the next cycle. Treatment was interrupted in patients with hepatic decompensation with Child-Pugh C, clinical progression to ECOG performance status >2, or intolerable toxicity even after the dose adjustment of sorafenib, regorafenib, or sintilimab.
Tumor response and toxicity assessment
The tumor response was assessed 1 month after the last treatment (TACE combined with regorafenib and sintilimab or continued TACE combined with regorafenib), and evaluated by radiological examination according to m-RESIST guidelines (13). The response was evaluated according to enhanced CT or MR imaging. Complete response (CR) was defined as the tumor completely lost its activity, partial response (PR) was defined as the reduction of the total diameter of viable lesions by more than 30%, progressive disease (PD) was defined as the increase of the total diameter of viable lesions by more than 20%, and stable disease (SD) was defined as any non-PR or non-PD cases. Objective response rate (ORR) was defined as the percentage of patients who reach CR or PR, and disease control rate (DCR) was defined as the percentage of patients who reach CR, PR or SD.
AEs were assessed according to the National Cancer Institute Common Terminology Criteria for Adverse Events, version 5.0.
Statistical analysis
Statistical analyses were performed using SPSS version 25.0 (IBM Corporation, Armonk, NY, USA). The t-test was used to detect measurement data, the chi-square test was used to test the comparison of count data between groups, and Fisher’s exact probability method was used when necessary. P<0.05 was considered statistically significant, and the confidence interval was 95%.
Results
The treatment process of all patients is shown in Figure 1. Cases 1 to 9 constituted one group who received TACE combined with regorafenib and sintilimab, while cases 10 to 18 were in a second group who received TACE combined with regorafenib. A total of 18 patients with advanced HCC showed tumor progression after treatment with sorafenib and sequential regorafenib in 2021, of which nine were treated with TACE combined with regorafenib and PD-1 antibody, and the other nine continued to receive TACE combined with regorafenib. Baseline characteristics between the two groups were not significantly different (Table 1), and there was no significant difference in various factors between the two groups.
Table 1
| Features | Overall (n=18) | P value (<0.05) | |
|---|---|---|---|
| TACE + regorafenib + PD-1 (n=9) | TACE + regorafenib (n=9) | ||
| Male | 7 | 6 | N |
| Age, years [range] | 57 [48–72] | 59 [50–78] | N |
| Liver disease | N | ||
| HBV | 7 | 7 | |
| HCV | 2 | 2 | |
| Child-pugh | N | ||
| A | 7 | 6 | |
| B | 2 | 3 | |
| AFP level | N | ||
| ≥400 ng/mL | 5 | 4 | |
| <400 ng/mL | 3 | 4 | |
| BCLC stage | N | ||
| B | 2 | 2 | |
| C | 7 | 7 | |
| Duration of TACE + sorafenib, months | 11.8 | 8.7 | N |
| Duration of TACE + regorafenib, months | 6.7 | 6.9 | N |
| Sorafenib prevalent dose | N | ||
| 400 mg daily | 8 | 7 | |
| 800 mg daily | 1 | 2 | |
| Regorafenib prevalent dose | N | ||
| 80 mg daily | 7 | 8 | |
| 120 mg daily | 1 | 1 | |
| 160 mg daily | 1 | 0 | |
TACE, transcatheter arterial chemoembolization; PD-1, programmed cell death protein-1; HBV, hepatitis B; HCV, hepatitis C; BCLC, Barcelona clinic liver cancer staging; AFP, alpha-fetoprotein.
Treatment efficacy
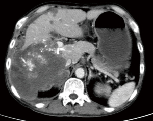
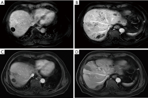
Treatment efficacy is shown in Table 2. After treatment with sorafenib and sequential regorafenib, 18 patients showed tumor progression, of which nine were treated with TACE combined with regorafenib and sintilimab, and the other nine continued to receive TACE combined with regorafenib. Five patients in the PD-1 group achieved a PR, three achieved SD, and one patient had PD after 1 month of treatment. The overall response rate (ORR) was 55.6% and the disease-control rate (DCR) was 88.9% (Table 2). One patient achieved a complete response (CR) after 6 months of therapy and another achieved a PR approaching a CR after 3 months of therapy in the PD-1 group (Figures 2,3). In the continued TACE–regorafenib group, four patients achieved PR, one achieved SD, and four patients achieved PD after 1 month of treatment. The ORR was 44.4% and the DCR was 55.6% (Table 2). No patients achieved CR after therapy, and there was a significant difference in the DCR between the two groups (P<0.05).
Table 2
| Response | TACE-regorafenib-PD-1 | TACE-regorafenib | P value (<0.05) |
|---|---|---|---|
| CR | 0 | 0 | |
| PR | 5 | 4 | |
| SD | 3 | 1 | |
| PD | 1 | 4 | |
| ORR, % | 55.60 | 44.40 | |
| DCR, % | 88.90 | 55.60 | 0.012 |
TACE, transcatheter arterial chemoembolization; PD-1, programmed cell death protein-1; CR, complete response; PR, partial response; SD, stable disease; PD, progression disease; ORR, objective response rate; DCR, disease-control rate.
Safety
AEs were similar in both groups, with most patients having hand-foot reactions (≤ grade 2). Three patients in the PD-1 group had hypertension (grade 2), one patient experienced decreased weight (grade 2), and another had proteinuria (grade 2). In the continued TACE–regorafenib group three patients had hypertension (grade 2), one experienced decreased weight (grade 1), and one patient had diarrhea (grade 2) (Table 3). One patient in the PD-1 group died of immune hepatitis after 3 months of therapy (Figure 4).
Table 3
| Events | TACE-regorafenib-PD-1 | TACE-regorafenib |
|---|---|---|
| Hand-foot reaction | 9 | 9 |
| Hypertension | 3 | 3 |
| Weight decreased | 1 | 0 |
| Proteinuria | 0 | 1 |
| Death | 1 | 0 |
TACE, transcatheter arterial chemoembolization; PD-1, programmed cell death protein-1.
Discussion
Our results show TACE combined with regorafenib and sintilimab confers a significant benefit when compared with continued TACE combined with regorafenib after the failure of second-line treatment with regorafenib. TACE combined with regorafenib and sintilimab had a higher DCR and was more effective than continued TACE plus regorafenib in patients with advanced HCC. Previous studies have confirmed regorafenib combined with PD-1 antibody is effective, with one showing a promising ORR of 28% in the first-line treatment of HCC (14). These results indicate TACE + regorafenib + sintilimab has an advantage over continued TACE combined with regorafenib alone. Regorafenib is a VEGFR inhibitor which inhibits JAK1/2-STAT1 and MAPK signaling, which could subsequently increase PD-L1 expression in tumors and increase intratumoral CD8+ T-cell infiltration by normalizing the tumor vasculature and improving the efficacy of the PD-1 antibody (11,15). This explains the significant difference in DCR between the two groups in our study (88.9% vs. 55.6%). However, we also found there was no significant difference in ORR between the two groups (55.6% vs. 44.4%), with four patients in the continued TACE combined with regorafenib group receiving the efficacy of PR. In other words, TACE combined with regorafenib was still effective after the failure of second-line treatment with regorafenib. This may be because the efficacy of TACE treatment differs according to patients’ physical strength and liver function. However, one patient achieved a CR and another achieved a PR approaching a CR in follow-up treatment in the TACE + regorafenib + sintilimab group, while the other group had no such efficacy. Therefore, TACE combined with regorafenib and sintilimab produced a benefit compared with continued TACE combined with regorafenib.
The safety of regorafenib combined with sintilimab was generally consistent with historical data (16). AEs were also low and similar between the two groups in our study. This may be because the doses of sorafenib and regorafenib used in our study were relatively small. However, one patient in the PD-1 group died of immune hepatitis after 3 months of therapy. The patient exhibited a huge tumor burden (Figure 4), and after TACE combined with regorafenib and sintilimab, the immune hepatitis and rapid deterioration of liver function led to their death.
In our study, the median duration of sorafenib sequential regorafenib combined with TACE was 17 and 15 months, respectively, in the two groups (Figure 1). The median OS of first-line sorafenib sequential second-line regorafenib has been reported to reach 26 months (17). While the OS of sorafenib sequential regorafenib combined TACE in our study was not reached, the outcome of OS we foresee may be higher. Our study also confirmed the efficacy of the combination of PD-1 antibody therapy after the failure of second-line treatment with regorafenib. Therefore, for advanced HCC, we need to consider whether to use standard sorafenib sequential regorafenib combined with TACE treatment firstly, then use PD-1 antibody treatment.
Our research also has some shortcomings. Firstly, this was a retrospective study and the sample sizes of the experimental and control groups were small. Secondly, this was a single center study, which reduces its statistical credibility, and finally, the study lacks the results of long-term follow-up. We will continue to follow up and accumulate cases.
Conclusions
TACE combined with regorafenib and PD-1 antibody had a higher DCR and was more effective than continued TACE combined with regorafenib in patients with HCC who failed second-line treatment with regorafenib. However, PD-1 antibody therapy may increase the risk of death by causing an uncontrollable immune response. Given the risk of an immune response, patients may choose to continue TACE combined with regorafenib, given the similar ORR of the two treatments.
Acknowledgments
Funding: None.
Footnote
Reporting Checklist: The authors have completed the STROBE reporting checklist Available at https://jgo.amegroups.com/article/view/10.21037/jgo-22-626/rc
Data Sharing Statement: Available at https://jgo.amegroups.com/article/view/10.21037/jgo-22-626/dss
Conflicts of Interest: All authors have completed the ICMJE uniform disclosure form (available at https://jgo.amegroups.com/article/view/10.21037/jgo-22-626/coif). The authors have no conflicts of interest to declare.
Ethical Statement: The authors are accountable for all aspects of the work in ensuring that questions related to the accuracy or integrity of any part of the work are appropriately investigated and resolved. The study was conducted in accordance with the Declaration of Helsinki (as revised in 2013). The study was approved by Bioethics Committee of Beijing Friendship Hospital Affiliated to Capital Medical University (No. 2021-P2-219-01). During their admission for surgery, enrolled patients provided written informed consent for their information to be stored in hospital databases and used for research.
Open Access Statement: This is an Open Access article distributed in accordance with the Creative Commons Attribution-NonCommercial-NoDerivs 4.0 International License (CC BY-NC-ND 4.0), which permits the non-commercial replication and distribution of the article with the strict proviso that no changes or edits are made and the original work is properly cited (including links to both the formal publication through the relevant DOI and the license). See: https://creativecommons.org/licenses/by-nc-nd/4.0/.
References
- European Association for the Study of the Liver. Electronic address: easloffice@easloffice.eu; European Association for the Study of the Liver. EASL Clinical Practice Guidelines: Management of hepatocellular carcinoma. J Hepatol 2018;69:182-236. [Crossref]
- Park JW, Chen M, Colombo M, et al. Global patterns of hepatocellular carcinoma management from diagnosis to death: the BRIDGE Study. Liver Int 2015;35:2155-66. [Crossref] [PubMed]
- Bruix J, Sherman MAmerican Association for the Study of Liver Diseases. Management of hepatocellular carcinoma: an update. Hepatology 2011;53:1020-2. [Crossref] [PubMed]
- Llovet JM, Ricci S, Mazzaferro V, et al. Sorafenib in advanced hepatocellular carcinoma. N Engl J Med 2008;359:378-90. [Crossref] [PubMed]
- Bruix J, Qin S, Merle P, et al. Regorafenib for patients with hepatocellular carcinoma who progressed on sorafenib treatment (RESORCE): a randomised, double-blind, placebo-controlled, phase 3 trial. Lancet 2017;389:56-66. [Crossref] [PubMed]
- Yoo C, Park JW, Kim YJ, et al. Multicenter retrospective analysis of the safety and efficacy of regorafenib after progression on sorafenib in Korean patients with hepatocellular carcinoma. Invest New Drugs 2019;37:567-72. [Crossref] [PubMed]
- Ogasawara S, Ooka Y, Itokawa N, et al. Sequential therapy with sorafenib and regorafenib for advanced hepatocellular carcinoma: a multicenter retrospective study in Japan. Invest New Drugs 2020;38:172-80. [Crossref] [PubMed]
- Wang W, Bai W, Wang E, et al. mRECIST response combined with sorafenib-related adverse events is superior to either criterion alone in predicting survival in HCC patients treated with TACE plus sorafenib. Int J Cancer 2017;140:390-9. [Crossref] [PubMed]
- Han Y, Cao G, Sun B, et al. Regorafenib combined with transarterial chemoembolization for unresectable hepatocellular carcinoma: a real-world study. BMC Gastroenterol 2021;21:393. [Crossref] [PubMed]
- Ren Z, Xu J, Bai Y, et al. Sintilimab plus a bevacizumab biosimilar (IBI305) versus sorafenib in unresectable hepatocellular carcinoma (ORIENT-32): a randomised, open-label, phase 2-3 study. Lancet Oncol 2021;22:977-90. [Crossref] [PubMed]
- Shigeta K, Matsui A, Kikuchi H, et al. Regorafenib combined with PD1 blockade increases CD8 T-cell infiltration by inducing CXCL10 expression in hepatocellular carcinoma. J Immunother Cancer 2020;8:e001435. [Crossref] [PubMed]
- Marrero JA, Kulik LM, Sirlin CB, et al. Diagnosis, Staging, and Management of Hepatocellular Carcinoma: 2018 Practice Guidance by the American Association for the Study of Liver Diseases. Hepatology 2018;68:723-50. [Crossref] [PubMed]
- Lencioni R, Llovet JM. Modified RECIST (mRECIST) assessment for hepatocellular carcinoma. Semin Liver Dis 2010;30:52-60. [Crossref] [PubMed]
- El-Khoueiry AB, Kim RD, Harris WP, et al. Updated results of a phase 1b study of regorafenib (REG) 80 mg/day or 120 mg/day plus pembrolizumab (PEMBRO) for first-line treatment of advanced hepatocellular carcinoma (HCC). J Clin Oncol 2021;39:4078. [Crossref]
- Wu RY, Kong PF, Xia LP, et al. Regorafenib Promotes Antitumor Immunity via Inhibiting PD-L1 and IDO1 Expression in Melanoma. Clin Cancer Res 2019;25:4530-41. [Crossref] [PubMed]
- Huang J, Guo Y, Huang W, et al. Regorafenib Combined with PD-1 Blockade Immunotherapy versus Regorafenib as Second-Line Treatment for Advanced Hepatocellular Carcinoma: A Multicenter Retrospective Study. J Hepatocell Carcinoma 2022;9:157-70. [Crossref] [PubMed]
- Waldschmidt D, Granito A, Merle P, et al. Overall Survival (OS) Update: 2-year follow-up from the phase-3 RESORCE trial of Regorafenib for patients with hepatocellular carcinoma (HCC) progressing on Sorafenib. Zeitschrift für Gastroenterologie 2019; [Crossref]
(English Language Editor: B. Draper)


