Hypercalcemia in metastatic pancreatic neuroendocrine tumor: a case report of ectopic 1,25 hydroxyvitamin D production by tumor cells and tumor-associated macrophages
Highlight box
Key findings
• We report a case of hypercalcemia associated with metastatic pancreatic neuroendocrine tumor (NET) caused by elevated circulating levels of 1,25-dihydroxyvitamin D [1,25(OH)2D].
• Immunofluorescence revealed positive expression of 1-alpha hydroxylase, the enzyme which converts 25-hydroxyvitamin D into 1,25(OH)2D, in both tumor cells and tumor-associated macrophages (TAMs).
What is known and what is new?
• Hypercalcemia in NETs is most commonly attributed to parathyroid hormone-related protein (PTHrP) secretion.
• Although five prior cases of NET-associated hypercalcemia linked to elevated 1,25(OH)2D have been described, the source of 1,25(OH)2D production had not been localized.
• This is the first reported case to localize 1-alpha hydroxylase protein expression in NET cells and TAMs, identifying a novel source of ectopic 1,25(OH)2D production.
What is the implication, and what should change now?
• Not all NET-related hypercalcemia is driven by PTHrP. Measurement of 1,25(OH)2D should be considered, particularly because this mechanism of hypercalcemia is responsive to glucocorticoid therapy.
• The involvement of TAMs in ectopic hormone production highlights their potential as therapeutic targets in hormone-mediated paraneoplastic syndromes.
Introduction
Hypercalcaemia is a common complication of malignancy, occurring in up to 44% of patients (1,2). Approximately 80% of these cases are related to secretion of parathyroid hormone-related protein (PTHrP) from tumor cells (3). However, hypercalcemia is rarely seen in neuroendocrine tumors (NETs) and, when present, is also primarily attributed to secretion of PTHrP (4). We report a case of hypercalcaemia in a metastatic pancreatic NET which was associated with increased circulating 1,25-dihydroxyvitamin D [1,25(OH)2D]. This is the sixth reported case of hypercalcaemia with elevated 1,25(OH)2D in a NET and the first case that demonstrates positive expression of 1-alpha hydroxylase in the tumor tissue as well as in tumor-associated macrophages (TAMs). We present this article in accordance with the CARE reporting checklist (available at https://jgo.amegroups.com/article/view/10.21037/jgo-2025-616/rc).
Case presentation
A 53-year-old female presented to the endocrine outpatient clinic with hypercalcaemia with corrected serum calcium levels ranging between 3.05 to 3.36 mmol/L (reference range, 2.10–2.60 mmol/L), diagnosed on routine blood tests. Apart from mild polyuria and thirst, she had no other symptoms of hypercalcemia. She had a background of mono-ostotic Paget’s disease affecting the calvarium, diagnosed one year prior on bone scan, Hashimoto’s thyroiditis on a stable dose of thyroxine and type 2 diabetes treated with sitagliptin. There was no significant family history of hypercalcemia or cancer. All procedures performed in this case were in accordance with the ethical standards of the institutional and/or national research committee(s) and with the Declaration of Helsinki and its subsequent amendments. Written informed consent was obtained from the patient for the publication of this case report and accompanying images. A copy of the written consent is available for review by the editorial office of this journal.
Her serum parathyroid hormone was 0.1–0.6 pmol/L (reference range, 1.6–6.9 pmol/L), with a mildly elevated PTHrP of 2.9 pmol/L (reference <2.0 pmol/L). She had a normal serum 25-hydroxyvitamin D (25OHD) of 63 nmol/L. Serum 1,25(OH)2D was elevated at 389 pmol/L (reference range, 60–200 pmol/L). Further blood tests revealed a normal chromogranin A of 86 µg/L (reference <93 µg/L), normal gastrin of 15 ng/L (reference <100 ng/L) and an undetectable pancreatic polypeptide.
Computed tomography (CT) scan was performed to evaluate a potential cause of her hypercalcemia. This detected a large, lobulated mass that largely replaced the body and tail of pancreas extending up to the splenic hilum (Figure 1A). Gallium-68 (68Ga) positron emission tomography (PET)-CT demonstrated intense focal tracer uptake in the 55 mm × 37 mm × 78 mm mass in the tail of the pancreas, an 18 mm peripancreatic lymph node and in multiple hepatic metastases, including a 48 mm × 55 mm metastasis in the left lobe and a 96 mm × 90 mm × 85 mm metastasis in the right lobe (Figure 1B). These sites were moderate to intensely avid on fluorodeoxyglucose PET-CT, but to a lesser extent. Mild focal tracer uptake was noted in the left sacral ala with no corresponding lytic or sclerotic change on CT.
The patient was initially managed with rehydration and a 5 mg zoledronic acid infusion. Her serum Ca decreased to 2.34 mmol/L. Four weeks later, her serum Ca increased to 3.33 mmol/L and she was treated with intravenous rehydration, frusemide, zoledronic acid and prednisolone 25 mg daily. Her serum Ca decreased to 2.70 mmol/L and she had a distal pancreatectomy, during which the tumor was noted to invade the spleen and left adrenal gland, which were both resected. The portal vein was excised and reconstructed but liver resection was unable to be performed due to potential injury to portal flow. Serum Ca and 1,25(OH)2D levels are shown in a timeline in Figure 1C.
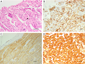
The resected specimen revealed a multilobular, tan tumor occupying close to the entire mass of the distal pancreas (110 mm × 60 mm × 60 mm), infiltrating adjacent pancreatic tissue and adipose tissue, with macroscopic invasion of the splenic vein and left adrenal gland. Histopathology showed a pancreatic NET, grade 2 [2020 World Health Organization (WHO) classification] with a Ki67 index of 3%. Immunohistochemistry staining was positive for CAM5.2 (monoclonal antibody targeting cytokeratins 8 and 18), synaptophysin, CD56, chromogranin A. There was negative staining for glucagon, insulin, serotonin and gastrin (Figure 2). 1-alpha hydroxylase immunofluorescence staining following antigen retrieval revealed a high expression level within the tumor (Figure 3A-3C). Additionally, high expression levels were also colocalized with CD68 positive staining which is a monocyte/macrophage marker (Figure 3D-3G).
One day after surgery, the patient’s serum Ca decreased to 1.8 mmol/L, requiring intravenous then oral calcium replacement to normalize her Ca to 2.55 mmol/L. She was admitted for portal vein embolization 6 weeks later. Serum Ca was again elevated at 3.38 mmol/L, requiring intravenous hydration, frusemide and a 60 mg intravenous infusion of pamidronate. She also received intravenous hydrocortisone and subcutaneous calcitonin. Ca was 2.78 mmol/L prior to portal vein embolization and 2.56 mmol/L one day later.
Three weeks later, her serum Ca rose again to 3.29 mmol/L. She now had a 1,25(OH)2D level of 924 pmol/L (range, 60–200 pmol/L). Prednisolone 40 mg daily was recommenced. A week later, 5 mg of zoledronic acid was infused and prednisolone dose was increased to 50 mg daily. Two weeks later, she had a right hemi-hepatectomy which included a number of metastatic nodules ranging in size from 18 to 90 mm. Serum Ca nadir was 1.93 mmol/L 2 days post surgery. She was discharged 8 days after surgery on prednisolone 15 mg daily, with a Ca of 2.36 mmol/L.
Two weeks post surgery, the patient’s serum Ca again increased to 2.75 mmol/L and her prednisolone was increased to 40 mg daily. A week later, her Ca decreased to 2.51 mmol/L and 1,25(OH)2D normalized to 162 pmol/L. Due to concerns about recurrence of hypercalcemia before her final liver resection, and to assess whether a non-bisphosphonate agent might be more effective given her limited and short-lived response to prior bisphosphonate therapy, she received a single 120 mg subcutaneous dose of denosumab. However, her Ca levels remained unchanged, ranging between 2.51 and 2.58 mmol/L, pre and post denosumab.
Second stage liver resection of two lesions, a 98 mm × 60 mm × 58 mm lesion and a 35 mm × 20 mm × 14 mm lesion, was performed 2 months after her first stage. Post operative Ca remained within normal limits and prednisolone was weaned. Her 1,25(OH)2D level was 252 pmol/L at 2 months, and 215 pmol/L 5 months after this last resection.
1-alpha hydroxylase immunofluorescence again showed high expression level within the metastases when compared to surrounding normal hepatic tissue (Figure 4A,4B). A subset of cells with high expression levels were also colocalized with CD68 positive staining for monocytes/macrophages (Figure 4C-4F). Interestingly, CD68 low cells, likely Kupffer cells, located within sinusoids in the surrounding hepatic tissue, did not show 1-alpha hydroxylase expression. This indicates a specifically high expression within TAMs.
Four months after the last liver resection, a recurrent hepatic lesion was seen on 68Ga-DOTATATE PET-CT. She was commenced on monthly lanreotide 120 mg subcutaneous injections. Over the ensuing 17 months, three new hepatic metastases developed. Lanreotide treatment intensity was increased to 120 mg every second week. Three and a half years after commencement of lanreotide, the patient underwent Lutetium-177 DOTATATE peptide receptor radionuclide therapy due to increasing size of her hepatic lesions and progressive skeletal metastases. Six years later, she received radiotherapy to an L4 vertebral metastasis and a left acetabular metastasis, and underwent hepatic embolization for increasing hepatic metastases. A year later, she received further radiotherapy for her L4 metastasis and commenced everolimus. Serum Ca has remained within the reference range since her final liver resection.
Discussion
1,25(OH)2D, the biologically active form of vitamin D, is synthesized from the hydroxylation of 25OHD by 1-alpha hydroxylase, an enzyme encoded by the CYP27B1 gene (5). This predominantly occurs in the kidneys but can also occur in extrarenal tissues such as skin, breast, bone and immune cells. We present a case of steroid-responsive hypercalcemia from metastatic pancreatic NET that was associated with raised serum levels of 1,25(OH)2D. Long-term normalization of serum calcium was only achieved after the final hepatic resection. Positive immunofluorescence staining for 1-alpha hydroxylase was observed in both NET cells and TAMs in the primary tumor as well as hepatic metastases. These observations suggest that NET-related hypercalcemia can be secondary to increased production of 1,25(OH)2D in TAMs, not just in tumor cells.
TAMs and, more generally, myeloid derived cells, are heterogenous populations and large constituents of the complex network of cells and signaling molecules making up the tumor tissue beyond tumor cells per se, called the tumor microenvironment (TME). TAMs have been largely reported as being pro-tumorigenic, particularly when they are polarized towards a so-called M2 immunosuppressive phenotype (6,7). TAMs express both the vitamin D receptor (VDR) and CYP27B1. This positions them as key players in synthesizing and responding to 1,25(OH)2D effects within the TME.
Interactions between 1,25(OH)2D, immune cells, and tumor cells have been shown to influence tumor growth. 1,25(OH)2D generally exhibits anti-tumor properties through direct, anti-proliferative effects on some tumor cells or through immunomodulation. 1,25(OH)2D has been shown to regulate TAM polarization, generally favoring the M1 pro-inflammatory and anti-tumor phenotype while inhibiting the M2 phenotype (8,9). This immunomodulatory effect of vitamin D has important implications for cancer therapy as it could enhance anti-tumor immunity and suppress tumor growth. However, there are emerging situations in which vitamin D has been reported to be pro-tumorigenic; for example, calcitriol intake increased lung metastasis in a murine breast cancer model through promotion of M2 polarization of TAMs (10,11). It is likely that the role of vitamin D in tumor development is context-dependent, involving factors such as age, metabolic status or obesity, immune activation status and tumor type. There may also be differential effects on primary tumor growth versus the metastatic process.
Ectopic secretion of hormones including parathyroid hormone (PTH), PTHrP, adrenocorticotropic hormone, vasopressin and serotonin occurs in 4% of pancreatic NETs and is associated with disease progression and a worse prognosis, with a higher Ki67 index (12-14). However, there have been less than 30 reported cases of neuroendocrine-tumor-related hypercalcemia (15,16). Of these, all were attributed to high PTHrP, with the exception of one attributed to a high PTH (17). Subsequently, five cases have been reported of 1,25(OH)2D-associated hypercalcemia in pancreatic NETs (15,18-21).
The first case reported in 2014 described a 43-year-old female who developed hypercalcaemia 4 years following a diagnosis of well-differentiated pancreatic NET with liver metastasis (18). She had a low PTH, normal PTHrP and raised 1,25(OH)2D of 343 pmol/L (reference range, 43–173 pmol/L). She was treated with a combination of agents including octreotide, sunitinib, capecitabine and temozolomide with resulting normalization of Ca and 1,25(OH)2D. Analysis of the tumor tissue for 1-alpha hydroxylase was not performed.
The second case was a 50-year-old man who developed hypercalcemia 10 years after presentation with a well-differentiated, grade 2 non-functional pancreatic NET with splenic and nodal metastasis, associated with increased volume of known hepatic metastatic disease (15). Serum Ca was 3.49 mmol/L, with a low PTH and undetectable PTHrP. 1,25(OH)2D levels were increased at 342 pmol/L (reference range, 59–159 pmol/L). Tumor mRNA expression of CYP27B1 was 1,000-fold that of control tissue that also expressed this enzyme (human fetal kidney and lymphoblast cells). However, exactly which tumor cells expressed 1-alpha hydroxylase was not ascertained.
The third case, published in 2020, involved a 57-year-old man with pancreatic NET and multifocal hepatic metastases, with a 1,25(OH)2D of 322 pmol/L (reference range, 48–192 pmol/L) and Ca of 2.85 mmol/L which normalized after peptide receptor radionucleide therapy. A later report described a 49-year-old woman who presented with severe hypercalcemia requiring hemodialysis and 1,25(OH)2D of 221 pmol/L (reference range, 42–143 pmol/L). Hypercalcemia resolved after resection of her pNET. The most recent case involved a 62-year-old man with metastatic pNET whose hypercalcemia resolved after initiation of octreotide and combination chemotherapy. Tumor tissue was not analyzed for 1-alpha hydroxylase in any of the three cases described above.
It has been suggested that, in the first two cases of 1,25(OH)2D-associated hypercalcemia, 1,25(OH)2D production might have been the result of treatment-induced selection of tumor clones, as both patients developed hypercalcemia several years after the initial diagnosis after treatment with multiple agents (15). However, our patient was treatment-naïve, which does not support the above hypothesis. It is interesting that, while tumor burden has gradually increased again, serum Ca remains normal. Possible explanations include insufficient tumor burden, expansion of select tumor clones or tumor dedifferentiation.
Non-granulomatous 1,25(OH)2D-mediated hypercalcemia in solid tumors has only been reported in a handful of cases. In 2017, Osorio et al. reported a total of five cases, excluding the previously reported NET tumors described above (22). This included their own case of a 75-year-old woman with metastatic small cell cervical cancer. They also documented two cases of ovarian dysgerminoma (23,24), a seminoma (25) and a clear cell renal carcinoma (26). However, in an Australian series of 101 patients with 1,25(OH)2D-mediated hypercalcemia, 5% were associated with solid tumors, suggesting that this condition could be under-reported (27). Our findings suggest that 1-alpha hydroxylase activity in tumour cells and/or TAMs could be a putative mechanism.
Conclusions
This case report represents the sixth documented instance of hypercalcemia associated with elevated 1,25(OH)2D in a NET, and is the first to demonstrate 1-alpha hydroxylase expression within tumor tissue. Notably, the enzyme was localized to both tumor cells and TAMs. While hypercalcemia in NETs is most frequently linked to PTHrP secretion, this case highlights the importance of measuring serum 1,25(OH)2D, particularly given the responsiveness of this mechanism to glucocorticoid therapy. These findings also suggest a role for TAMs in ectopic hormone production and support further investigation into their potential as therapeutic targets.
Acknowledgments
None.
Footnote
Reporting Checklist: The authors have completed the CARE reporting checklist. Available at https://jgo.amegroups.com/article/view/10.21037/jgo-2025-616/rc
Peer Review File: Available at https://jgo.amegroups.com/article/view/10.21037/jgo-2025-616/prf
Funding: None.
Conflicts of Interest: All authors have completed the ICMJE uniform disclosure form (available at https://jgo.amegroups.com/article/view/10.21037/jgo-2025-616/coif). A.J.G. reports consulting fees from AMCA, honoraria for lectures received from AstraZeneca, and travel support for attending meetings received from Daiichi Sankyo. The other authors have no conflicts of interest to declare.
Ethical Statement: The authors are accountable for all aspects of the work in ensuring that questions related to the accuracy or integrity of any part of the work are appropriately investigated and resolved. All procedures performed in this case were in accordance with the ethical standards of the institutional and/or national research committee(s) and with the Declaration of Helsinki and its subsequent amendments. Written informed consent was obtained from the patient for the publication of this case report and accompanying images.
Open Access Statement: This is an Open Access article distributed in accordance with the Creative Commons Attribution-NonCommercial-NoDerivs 4.0 International License (CC BY-NC-ND 4.0), which permits the non-commercial replication and distribution of the article with the strict proviso that no changes or edits are made and the original work is properly cited (including links to both the formal publication through the relevant DOI and the license). See: https://creativecommons.org/licenses/by-nc-nd/4.0/.
References
- Burt ME, Brennan MF. Incidence of hypercalcemia and malignant neoplasm. Arch Surg 1980;115:704-7. [Crossref] [PubMed]
- Vassilopoulou-Sellin R, Newman BM, Taylor SH, et al. Incidence of hypercalcemia in patients with malignancy referred to a comprehensive cancer center. Cancer 1993;71:1309-12. [Crossref] [PubMed]
- Stewart AF. Clinical practice. Hypercalcemia associated with cancer. N Engl J Med 2005;352:373-9. [Crossref] [PubMed]
- Valdes-Socin H, Niaourou V, Vandeva S, et al. Paraneoplastic endocrine syndromes: diagnosis and management. Rev Med Suisse 2009;5:1668-74.
- Bikle DD. Vitamin D metabolism, mechanism of action, and clinical applications. Chem Biol 2014;21:319-29. [Crossref] [PubMed]
- Kloosterman DJ, Akkari L. Macrophages at the interface of the co-evolving cancer ecosystem. Cell 2023;186:1627-51. [Crossref] [PubMed]
- Mantovani A, Allavena P, Marchesi F, et al. Macrophages as tools and targets in cancer therapy. Nat Rev Drug Discov 2022;21:799-820. [Crossref] [PubMed]
- Carlberg C, Muñoz A. An update on vitamin D signaling and cancer. Semin Cancer Biol 2022;79:217-30. [Crossref] [PubMed]
- Vanhevel J, Verlinden L, Doms S, et al. The role of vitamin D in breast cancer risk and progression. Endocr Relat Cancer 2022;29:R33-55. [Crossref] [PubMed]
- Anisiewicz A, Kowalski K, Banach J, et al. Vitamin D Metabolite Profile in Cholecalciferol- or Calcitriol-Supplemented Healthy and Mammary Gland Tumor-Bearing Mice. Nutrients 2020;12:3416. [Crossref] [PubMed]
- Stachowicz-Suhs M, Łabędź N, Anisiewicz A, et al. Calcitriol promotes M2 polarization of tumor-associated macrophages in 4T1 mouse mammary gland cancer via the induction of proinflammatory cytokines. Sci Rep 2024;14:3778. [Crossref] [PubMed]
- de Mestier L, Hentic O, Cros J, et al. Metachronous hormonal syndromes in patients with pancreatic neuroendocrine tumors: a case-series study. Ann Intern Med 2015;162:682-9. [Crossref] [PubMed]
- Crona J, Norlén O, Antonodimitrakis P, et al. Multiple and Secondary Hormone Secretion in Patients With Metastatic Pancreatic Neuroendocrine Tumours. J Clin Endocrinol Metab 2016;101:445-52. [Crossref] [PubMed]
- Tsoli M, Dimitriadis GK, Androulakis II, et al. Paraneoplastic Syndromes Related to Neuroendocrine Tumors. In: Feingold KR, Ahmed SF, Anawalt B, et al. editors. Endotext. South Dartmouth, MA, USA: MDText.com, Inc.; 2000.
- van Lierop AH, Bisschop PH, Boelen A, et al. hypercalcaemia due to a calcitriol-producing neuroendocrine tumour. J Surg Case Rep 2019;2019:rjz346. [Crossref] [PubMed]
- Kanakis G, Kaltsas G, Granberg D, et al. Unusual complication of a pancreatic neuroendocrine tumor presenting with malignant hypercalcemia. J Clin Endocrinol Metab 2012;97:E627-31. [Crossref] [PubMed]
- Vacher-Coponat H, Opris A, Denizot A, et al. Hypercalcaemia induced by excessive parathyroid hormone secretion in a patient with a neuroendocrine tumour. Nephrol Dial Transplant 2005;20:2832-5. [Crossref] [PubMed]
- Zhu V, de Las Morenas A, Janicek M, et al. Hypercalcemia from metastatic pancreatic neuroendocrine tumor secreting 1,25-dihydroxyvitamin D. J Gastrointest Oncol 2014;5:E84-7. [Crossref] [PubMed]
- Haemels M, Delaunoit T, Van Laere K, et al. Peptide receptor radionuclide therapy controls inappropriate calcitriol secretion in a pancreatic neuro-endocrine tumor: a case report. BMC Gastroenterol 2020;20:324. [Crossref] [PubMed]
- Giannetta E, Sesti F, Modica R, et al. Case Report: Unmasking Hypercalcemia in Patients With Neuroendocrine Neoplasms. Experience From Six Italian Referral Centers. Front Endocrinol (Lausanne) 2021;12:665698. [Crossref] [PubMed]
- Wolf KI, Crysler OV, Fontana R, et al. Calcitriol-Mediated Hypercalcemia Due to Liver Metastases in a Patient With Primary Pancreatic Neuroendocrine Tumor. JCEM Case Rep 2024;2:luae209. [Crossref] [PubMed]
- Osorio JC, Jones MG, Schatz-Siemers N, et al. Twist on a classic: vitamin D and hypercalcaemia of malignancy. BMJ Case Rep 2017;2017:bcr2017220819. [Crossref] [PubMed]
- Hibi M, Hara F, Tomishige H, et al. 1,25-dihydroxyvitamin D-mediated hypercalcemia in ovarian dysgerminoma. Pediatr Hematol Oncol 2008;25:73-8. [Crossref] [PubMed]
- Allbery SM, Swischuk LE, John SD. Hypercalcemia associated with dysgerminoma: case report and imaging findings. Pediatr Radiol 1998;28:183-5. [Crossref] [PubMed]
- Grote TH, Hainsworth JD. Hypercalcemia and elevated serum calcitriol in a patient with seminoma. Arch Intern Med 1987;147:2212-3.
- Shivnani SB, Shelton JM, Richardson JA, et al. Hypercalcemia of malignancy with simultaneous elevation in serum parathyroid hormone--related peptide and 1,25-dihydroxyvitamin D in a patient with metastatic renal cell carcinoma. Endocr Pract 2009;15:234-9. [Crossref] [PubMed]
- Donovan PJ, Sundac L, Pretorius CJ, et al. Calcitriol-mediated hypercalcemia: causes and course in 101 patients. J Clin Endocrinol Metab 2013;98:4023-9. [Crossref] [PubMed]

